« 2025年12月
  •  
  • 1
  • 2
  • 3
  • 4
  • 5
  • 6
  • 7
  • 8
  • 9
  • 10
  • 11
  • 12
  • 13
  • 14
  • 15
  • 16
  • 17
  • 18
  • 19
  • 20
  • 21
  • 22
  • 23
  • 24
  • 25
  • 26
  • 27
  • 28
  • 29
  • 30
  • 31
  •  
  •  
  •  
2025年12月 6日

久しぶりの更新です。矯正治療のやり直し症例

さいたま市大宮区 ソニックシティ12F 矯正歯科専門のファミリア歯科矯正 院長の大塚です。

現在、常勤の歯科衛生士、一名~二名の募集をしております。
見学も随時受け入れておりますので、ご希望の方はご連絡ください。

今月の終了症例から一例詳しく解説します。

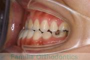
かみ合わせが悪い、顎が出ているのを治したいと来院されました。驚くことに、これまで小児期から成人にかけて3回も矯正治療を行っており、歯根吸収も著しい骨格性の受け口ということで、大変な難症例でした。2年半、30回程度の通院が必要でした。
使用装置はマルチブラケット装置、健康保険の適用が受けられました。

No.22V-210

年齢:
32歳
性別:
女性

抜歯部位
上下とも第一小臼歯と智歯が抜歯済み
≫治療前
  • 上顎上顎
  • 下顎下顎
  • 前歯の関係など前歯の関係など
  • 右側右側
  • 正面正面
  • 左側左側
≫治療後
  • 上顎上顎
  • 下顎下顎
  • 前歯の関係など前歯の関係など
  • 右側右側
  • 正面正面
  • 左側左側

外科的矯正治療には、矯正治療単独で行った場合のリスクや副作用に加えて、外科手術のもつリスクがあります。全身麻酔や入院の必要性、術後の疼痛や顔の腫れ、手術部位周囲の感覚麻痺などがそれにあたります。
厚生労働省のガイドラインを守るために書くのならば、この症例のリスクはこのようになるでしょうが、このケースに関しては「骨格のズレを度外視?もしくは見逃し?して矯正治療を行うことのリスク」が最大限に表れていると言えるかもしれません。
「矯正治療」として歯を動かしてもらうこと自体がリスクそのもの。正直そう言いたくなる事例が溢れています。法的には歯科医師免許があれば矯正治療をすることが許されます。でもそれでいいのか、と言いたくなる一例でした。
さらには、この治療は「顎変形症」として健康保険が適用されています。自費診療で「うまくいかなかった」(あえて失敗とはいいません)を、当院のような医院が保険診療の範疇で症例的にも、制度的にも、金銭的にも制約を受けながら治療を行っていることに、釈然としない気持ちもあります。医療人としてのプライドとして僕も副院長もきちんとした治療をし、矯正治療を大切にしたいと思っていますが、世の中の矛盾が溢れているケースと言えます。

Google +1

ページの先頭へ

トラックバック
このエントリーのトラックバックURL:

https://www.familia-ortho.or.jp/cgi/mt/mt-tb.cgi/700

ファミリア歯科矯正
院長・歯学博士 大塚 亮

院長・歯学博士 大塚 亮

大宮区(さいたま市)の歯医者・矯正歯科ならファミリア歯科矯正にお任せください。当院では、「美しい歯並び」と「健康な噛み合わせ」をすべての患者さんに提供するために日々努力しています。

Google +1