こちらに表示される症例は、すべて当院で治療を完了し、サイト掲載の許可をいただいた患者さんのものです。
画像の傾きの修正、顔写真の口元部分の切り抜きを除いて、一切の修正を加えておりません。
ただし、治療結果はすべて各患者さんに固有のものであり、他の患者さんの治療結果を保証するものではありません。
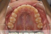
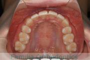
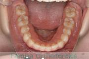
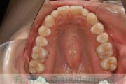
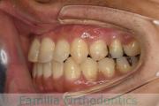
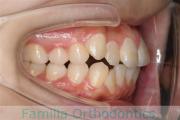
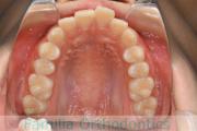
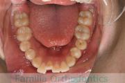
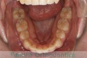
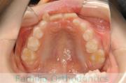
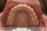
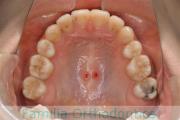
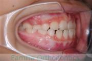
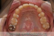
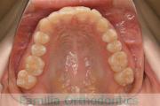
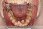
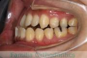
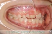
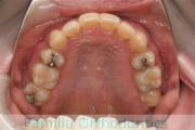
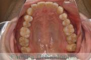
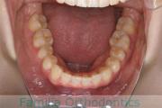
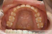
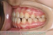
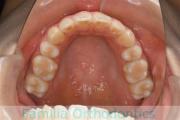
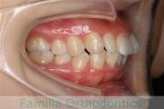
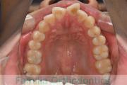
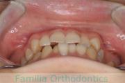
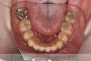
No.20V-499
- 主な症状:
- 上顎前突
- その他の症状:
- 叢生
- 年齢:
- 16歳
- 性別:
- 女性
- 抜歯部位
- 上:
- 44
- 下:
- 8558
- 主な使用装置:
- FEA
- 治療にかかった費用:
- 85万円
上の前歯が出っ歯気味なのを治したいということで来院されました。上下左右から小臼歯を抜歯して、歯科矯正用アンカースクリューを併用したマルチブラケット法により治療を行いました。動きの悪い歯やコントロールに苦労した場面があり、4年強・50回程度の通院が必要でした。
下顎前歯の叢生(でこぼこ、凹凸、ガタガタ)が著しく、後戻りのリスクが高い部位となります。
- ≫治療前
-
上顎
下顎
前歯の関係など
右側
正面
左側
- ≫治療後
-
上顎
下顎
前歯の関係など
右側
正面
左側
※歯科矯正治療による歯の移動による主なリスク(副作用)としては、歯根吸収(歯の根の先が短くなること)や歯肉退縮(歯ぐきが下がること)があります。
※歯を移動する力により、痛みや違和感が出る場合があります。矯正装置の刺激で歯肉の炎症や口内炎が生じる場合があります。
※装置の装着により歯磨きがしにくくなる部位がありますので、不充分な歯磨きにより、虫歯や歯の変色・歯肉炎や歯周炎が発生することがあります。
※歯を動かし終わった後に、リテーナーの使用不足や歯ぎしりなどの癖の影響で、後戻りや新たな不正咬合が出現する場合があります。
※その他詳細は「よくある質問」にも記載がありますのでご参照ください。
※治療期間は症例により異なりますが、乳歯の残っているお子さんの治療の場合、第一期治療で12~24か月、経過観察期間後の第二期治療で12~24か月を要することがあります。
※表示されている<治療にかかった費用>は、契約を行った当時の治療費(税抜)です。現在の治療費の詳細については、「料金表」をご参照ください。
No.22V-104
- 主な症状:
- 側方偏位
- その他の症状:
- 叢生
- 年齢:
- 19歳
- 性別:
- 女性
- 主な使用装置:
- FEA
- 治療にかかった費用:
- 90万円
歯並びを綺麗にしたいということで来院されました。叢生(でこぼこ、凹凸、ガタガタ)と上下顎前突のため、上下左右から小臼歯を抜歯の上で、歯科矯正用アンカースクリューを併用したマルチブラケット法を行いました。約2年半、30回の通院が必要でした。
上下とも叢生がありますので、後戻りのリスクがあります。
- ≫治療前
-
上顎
下顎
前歯の関係など
右側
正面
左側
- ≫治療後
-
上顎
下顎
前歯の関係など
右側
正面
左側
※歯科矯正治療による歯の移動による主なリスク(副作用)としては、歯根吸収(歯の根の先が短くなること)や歯肉退縮(歯ぐきが下がること)があります。
※歯を移動する力により、痛みや違和感が出る場合があります。矯正装置の刺激で歯肉の炎症や口内炎が生じる場合があります。
※装置の装着により歯磨きがしにくくなる部位がありますので、不充分な歯磨きにより、虫歯や歯の変色・歯肉炎や歯周炎が発生することがあります。
※歯を動かし終わった後に、リテーナーの使用不足や歯ぎしりなどの癖の影響で、後戻りや新たな不正咬合が出現する場合があります。
※その他詳細は「よくある質問」にも記載がありますのでご参照ください。
※治療期間は症例により異なりますが、乳歯の残っているお子さんの治療の場合、第一期治療で12~24か月、経過観察期間後の第二期治療で12~24か月を要することがあります。
※表示されている<治療にかかった費用>は、契約を行った当時の治療費(税抜)です。現在の治療費の詳細については、「料金表」をご参照ください。
No.22V-029
- 主な症状:
- 叢生
- その他の症状:
- 上顎前突
- 年齢:
- 19歳
- 性別:
- 男性
- 抜歯部位
- 上:
- 8448
- 下:
- 8448
- 主な使用装置:
- FEA 022
- 治療にかかった費用:
- 92万円
でこぼこを治したいということで来院されました。上下左右から親知らずも第一小臼歯も抜歯が必要で、歯科矯正アンカースクリューを併用して大臼歯を後ろに引っ張りながらの治療でした。3年弱、35回程度の通院が必要でした。
叢生が著しく、後戻りのリスクがあります。またアンカースクリューが必須のため、もしもスクリューが安定しないと、治療が難しく長くなってしまう恐れがありましたが、幸い脱落は見られませんでした。
- ≫治療前
-
上顎
下顎
前歯の関係など
右側
正面
左側
- ≫治療後
-
上顎
下顎
前歯の関係など
右側
正面
左側
※歯科矯正治療による歯の移動による主なリスク(副作用)としては、歯根吸収(歯の根の先が短くなること)や歯肉退縮(歯ぐきが下がること)があります。
※歯を移動する力により、痛みや違和感が出る場合があります。矯正装置の刺激で歯肉の炎症や口内炎が生じる場合があります。
※装置の装着により歯磨きがしにくくなる部位がありますので、不充分な歯磨きにより、虫歯や歯の変色・歯肉炎や歯周炎が発生することがあります。
※歯を動かし終わった後に、リテーナーの使用不足や歯ぎしりなどの癖の影響で、後戻りや新たな不正咬合が出現する場合があります。
※その他詳細は「よくある質問」にも記載がありますのでご参照ください。
※治療期間は症例により異なりますが、乳歯の残っているお子さんの治療の場合、第一期治療で12~24か月、経過観察期間後の第二期治療で12~24か月を要することがあります。
※表示されている<治療にかかった費用>は、契約を行った当時の治療費(税抜)です。現在の治療費の詳細については、「料金表」をご参照ください。
No.22V-409
- 主な症状:
- 叢生
- 年齢:
- 16歳
- 性別:
- 女性
- 抜歯部位
- 上:
- 44
- 下:
- 8|58
- 主な使用装置:
- FEA
- 治療にかかった費用:
- 86万円
八重歯を治したいということで来院されました。下あごの左ずれのある上顎前突(出っ歯)・叢生(でこぼこ)でしたので、上は左右から、下はで左のみ小臼歯を抜歯して、歯科矯正用アンカースクリューとマルチブラケット法にて治療を行いました。2年強、30回程度の通院が必要でした。
上下とも前歯の叢生(でこぼこ、凹凸、ガタガタ)があるため、保定を怠ると後戻りのリスクがあります。
- ≫治療前
-
上顎
下顎
前歯の関係など
右側
正面
左側
- ≫治療後
-
上顎
下顎
前歯の関係など
右側
正面
左側
※歯科矯正治療による歯の移動による主なリスク(副作用)としては、歯根吸収(歯の根の先が短くなること)や歯肉退縮(歯ぐきが下がること)があります。
※歯を移動する力により、痛みや違和感が出る場合があります。矯正装置の刺激で歯肉の炎症や口内炎が生じる場合があります。
※装置の装着により歯磨きがしにくくなる部位がありますので、不充分な歯磨きにより、虫歯や歯の変色・歯肉炎や歯周炎が発生することがあります。
※歯を動かし終わった後に、リテーナーの使用不足や歯ぎしりなどの癖の影響で、後戻りや新たな不正咬合が出現する場合があります。
※その他詳細は「よくある質問」にも記載がありますのでご参照ください。
※治療期間は症例により異なりますが、乳歯の残っているお子さんの治療の場合、第一期治療で12~24か月、経過観察期間後の第二期治療で12~24か月を要することがあります。
※表示されている<治療にかかった費用>は、契約を行った当時の治療費(税抜)です。現在の治療費の詳細については、「料金表」をご参照ください。
No.22V-296
- 主な症状:
- 叢生
- その他の症状:
- 上顎前突
- 年齢:
- 19歳
- 性別:
- 女性
- 抜歯部位
- 上:
- 844
- 下:
- 8448
- 主な使用装置:
- FEA
- 治療にかかった費用:
- 88万円
上の出っ歯を治したいとのことで来院されました。下あごの後退が強く、奥歯のすれ違いもありました。上顎のみ左右小臼歯を、親知らずは全て抜歯して、マルチブラケット法を行いました。2年半、30回程度の通院が必要でした。
上野前歯の移動量が大きく、この部位の歯根吸収のリスクが高いケースでした。
- ≫治療前
-
上顎
下顎
前歯の関係など
右側
正面
左側
- ≫治療後
-
上顎
下顎
前歯の関係など
右側
正面
左側
※歯科矯正治療による歯の移動による主なリスク(副作用)としては、歯根吸収(歯の根の先が短くなること)や歯肉退縮(歯ぐきが下がること)があります。
※歯を移動する力により、痛みや違和感が出る場合があります。矯正装置の刺激で歯肉の炎症や口内炎が生じる場合があります。
※装置の装着により歯磨きがしにくくなる部位がありますので、不充分な歯磨きにより、虫歯や歯の変色・歯肉炎や歯周炎が発生することがあります。
※歯を動かし終わった後に、リテーナーの使用不足や歯ぎしりなどの癖の影響で、後戻りや新たな不正咬合が出現する場合があります。
※その他詳細は「よくある質問」にも記載がありますのでご参照ください。
※治療期間は症例により異なりますが、乳歯の残っているお子さんの治療の場合、第一期治療で12~24か月、経過観察期間後の第二期治療で12~24か月を要することがあります。
※表示されている<治療にかかった費用>は、契約を行った当時の治療費(税抜)です。現在の治療費の詳細については、「料金表」をご参照ください。
No.22V-269
- 主な症状:
- 過蓋咬合
- その他の症状:
- 上顎前突
- 年齢:
- 20歳
- 性別:
- 女性
- 抜歯部位
- 上:
- 44
- 下:
- 88
- 主な使用装置:
- FEA
- 治療にかかった費用:
- 90万円
左上の前歯の出っ歯が気になるということで来院されました。下あごの後退が非常に強く、外科矯正も選択肢の一つでしたが、矯正治療単独の治療をご希望になりました。上顎のみ左右小臼歯を抜歯して、マルチブラケット法を行いました。2年半、30回程度の通院が必要でした。
下あごの後退があるということは、上の前歯を大きく移動させないとかみ合わせが取れないということです。そのため、同部の歯根吸収のリスクが高いケースでした。
- ≫治療前
-
上顎
下顎
前歯の関係など
右側
正面
左側
- ≫治療後
-
上顎
下顎
前歯の関係など
右側
正面
左側
※歯科矯正治療による歯の移動による主なリスク(副作用)としては、歯根吸収(歯の根の先が短くなること)や歯肉退縮(歯ぐきが下がること)があります。
※歯を移動する力により、痛みや違和感が出る場合があります。矯正装置の刺激で歯肉の炎症や口内炎が生じる場合があります。
※装置の装着により歯磨きがしにくくなる部位がありますので、不充分な歯磨きにより、虫歯や歯の変色・歯肉炎や歯周炎が発生することがあります。
※歯を動かし終わった後に、リテーナーの使用不足や歯ぎしりなどの癖の影響で、後戻りや新たな不正咬合が出現する場合があります。
※その他詳細は「よくある質問」にも記載がありますのでご参照ください。
※治療期間は症例により異なりますが、乳歯の残っているお子さんの治療の場合、第一期治療で12~24か月、経過観察期間後の第二期治療で12~24か月を要することがあります。
※表示されている<治療にかかった費用>は、契約を行った当時の治療費(税抜)です。現在の治療費の詳細については、「料金表」をご参照ください。
No.22V-578
- 主な症状:
- 側方偏位
- その他の症状:
- 上顎前突
- 年齢:
- 24歳
- 性別:
- 女性
- 抜歯部位
- 上:
- 4|
- 下:
- 88
- 主な使用装置:
- Invisalign
- 治療にかかった費用:
- 93万円
口が開き易い。閉じたときにあごのシワができるのが気になる、とのことで来院されました。側方偏位があるため、様々な治療方針をご提案した結果、右上のみ第一小臼歯を抜歯する治療を行いました。右上舌側にアンカースクリューを設置し、マルチブラケット法を行いました。約2.5年、30回強の通院が必要でした。アゴの横ずれをカモフラージュする移動を行っていますので、左右の大臼歯の咬合は非対称になるというリスクがありますが、何とかバランスを保って治療が完了していると思います。
- ≫治療前
-
上顎
下顎
前歯の関係など
右側
正面
左側
- ≫治療後
-
上顎
下顎
前歯の関係など
右側
正面
左側
※歯科矯正治療による歯の移動による主なリスク(副作用)としては、歯根吸収(歯の根の先が短くなること)や歯肉退縮(歯ぐきが下がること)があります。
※歯を移動する力により、痛みや違和感が出る場合があります。矯正装置の刺激で歯肉の炎症や口内炎が生じる場合があります。
※装置の装着により歯磨きがしにくくなる部位がありますので、不充分な歯磨きにより、虫歯や歯の変色・歯肉炎や歯周炎が発生することがあります。
※歯を動かし終わった後に、リテーナーの使用不足や歯ぎしりなどの癖の影響で、後戻りや新たな不正咬合が出現する場合があります。
※その他詳細は「よくある質問」にも記載がありますのでご参照ください。
※治療期間は症例により異なりますが、乳歯の残っているお子さんの治療の場合、第一期治療で12~24か月、経過観察期間後の第二期治療で12~24か月を要することがあります。
※表示されている<治療にかかった費用>は、契約を行った当時の治療費(税抜)です。現在の治療費の詳細については、「料金表」をご参照ください。
No.21V-244
- 主な症状:
- 上下顎前突
- 年齢:
- 25歳
- 性別:
- 女性
- 抜歯部位
- 上:
- 44
- 下:
- 55
- 主な使用装置:
- FEA 022
- 治療にかかった費用:
- 88万円
出っ歯・口ぽかんを治したいということで来院されました。小臼歯を抜歯して歯科矯正用アンカースクリューを併用したマルチブラケット法を行いました。約3年半、40回程度の通院が必要でした。前歯の移動量が大きく、その部位の歯根吸収のリスクが高いケースでした。
- ≫治療前
-
上顎
下顎
前歯の関係など
右側
正面
左側
- ≫治療後
-
上顎
下顎
前歯の関係など
右側
正面
左側
※歯科矯正治療による歯の移動による主なリスク(副作用)としては、歯根吸収(歯の根の先が短くなること)や歯肉退縮(歯ぐきが下がること)があります。
※歯を移動する力により、痛みや違和感が出る場合があります。矯正装置の刺激で歯肉の炎症や口内炎が生じる場合があります。
※装置の装着により歯磨きがしにくくなる部位がありますので、不充分な歯磨きにより、虫歯や歯の変色・歯肉炎や歯周炎が発生することがあります。
※歯を動かし終わった後に、リテーナーの使用不足や歯ぎしりなどの癖の影響で、後戻りや新たな不正咬合が出現する場合があります。
※その他詳細は「よくある質問」にも記載がありますのでご参照ください。
※治療期間は症例により異なりますが、乳歯の残っているお子さんの治療の場合、第一期治療で12~24か月、経過観察期間後の第二期治療で12~24か月を要することがあります。
※表示されている<治療にかかった費用>は、契約を行った当時の治療費(税抜)です。現在の治療費の詳細については、「料金表」をご参照ください。
No.20V-157
- 主な症状:
- 叢生
- その他の症状:
- 欠損歯
- 年齢:
- 32歳
- 性別:
- 女性
- 抜歯部位
- 上:
- 44
- 下:
- 8448, L4 tansplant to UL7
- 主な使用装置:
- FEA 022
- 治療にかかった費用:
- 88万円
全体的に綺麗にしたいということで来院されました。左上7番の欠損がある強い叢生(でこぼこ、凹凸、ガタガタ)ケースでした。上下左右から小臼歯を抜歯せざるを得なかったため、そのうちの一本を左上に移植することにより、治療後の歯の本数を確保することにしました。3年、40回弱の通院が必要でしたが、24歯咬合は確保できました。
歯の移植は矯正治療方針の選択肢を増やすことができる重要な手法ですが、費用面や成功率の面ではリスクもありますので、適応を十分検討する必要があります。
- ≫治療前
-
上顎
下顎
前歯の関係など
右側
正面
左側
- ≫治療後
-
上顎
下顎
前歯の関係など
右側
正面
左側
※歯科矯正治療による歯の移動による主なリスク(副作用)としては、歯根吸収(歯の根の先が短くなること)や歯肉退縮(歯ぐきが下がること)があります。
※歯を移動する力により、痛みや違和感が出る場合があります。矯正装置の刺激で歯肉の炎症や口内炎が生じる場合があります。
※装置の装着により歯磨きがしにくくなる部位がありますので、不充分な歯磨きにより、虫歯や歯の変色・歯肉炎や歯周炎が発生することがあります。
※歯を動かし終わった後に、リテーナーの使用不足や歯ぎしりなどの癖の影響で、後戻りや新たな不正咬合が出現する場合があります。
※その他詳細は「よくある質問」にも記載がありますのでご参照ください。
※治療期間は症例により異なりますが、乳歯の残っているお子さんの治療の場合、第一期治療で12~24か月、経過観察期間後の第二期治療で12~24か月を要することがあります。
※表示されている<治療にかかった費用>は、契約を行った当時の治療費(税抜)です。現在の治療費の詳細については、「料金表」をご参照ください。
No.22V-133
- 主な症状:
- 下顎前突
- その他の症状:
- 叢生
- 年齢:
- 41歳
- 性別:
- 男性
- 抜歯部位
- 下:
- 88
- 主な使用装置:
- FEA 022
- 治療にかかった費用:
- 保険
受け口を治したいということで来院されました。下の親知らずのみ抜歯してマルチブラケット法を行いました。術前矯正治療が終了後、入院・手術を行っています。約3年、35回程度の通院が必要でした。
外科的矯正治療には、矯正治療単独で行った場合のリスクや副作用に加えて、外科手術のもつリスクがあります。
全身麻酔や入院の必要性、術後の疼痛や顔の腫れ、手術部位周囲の感覚麻痺などがそれにあたります。
- ≫治療前
-
上顎
下顎
前歯の関係など
右側
正面
左側
- ≫治療後
-
上顎
下顎
前歯の関係など
右側
正面
左側
※歯科矯正治療による歯の移動による主なリスク(副作用)としては、歯根吸収(歯の根の先が短くなること)や歯肉退縮(歯ぐきが下がること)があります。
※歯を移動する力により、痛みや違和感が出る場合があります。矯正装置の刺激で歯肉の炎症や口内炎が生じる場合があります。
※装置の装着により歯磨きがしにくくなる部位がありますので、不充分な歯磨きにより、虫歯や歯の変色・歯肉炎や歯周炎が発生することがあります。
※歯を動かし終わった後に、リテーナーの使用不足や歯ぎしりなどの癖の影響で、後戻りや新たな不正咬合が出現する場合があります。
※その他詳細は「よくある質問」にも記載がありますのでご参照ください。
※治療期間は症例により異なりますが、乳歯の残っているお子さんの治療の場合、第一期治療で12~24か月、経過観察期間後の第二期治療で12~24か月を要することがあります。
※表示されている<治療にかかった費用>は、契約を行った当時の治療費(税抜)です。現在の治療費の詳細については、「料金表」をご参照ください。
No.21V-042
- 主な症状:
- 側方偏位
- その他の症状:
- 叢生
- 年齢:
- 39歳
- 性別:
- 女性
- 抜歯部位
- 上:
- 44
- 下:
- 1|8
- 主な使用装置:
- FEA
- 治療にかかった費用:
- 90万円
八重歯を治したい、とのことで来院されました。アゴのズレが大きいこと、親知らずに下の奥歯が一部食い込まれていて保存に不安があったこと、から上の左右小臼歯と下の前歯一本を抜歯してマルチブラケット法を行いました。4年弱、45回程度の通院が必要でした。
上下前歯とも叢生(でこぼこ、凹凸、ガタガタ)が強く、後戻りのリスクのあるケースです。
- ≫治療前
-
上顎
下顎
前歯の関係など
右側
正面
左側
- ≫治療後
-
上顎
下顎
前歯の関係など
右側
正面
左側
※歯科矯正治療による歯の移動による主なリスク(副作用)としては、歯根吸収(歯の根の先が短くなること)や歯肉退縮(歯ぐきが下がること)があります。
※歯を移動する力により、痛みや違和感が出る場合があります。矯正装置の刺激で歯肉の炎症や口内炎が生じる場合があります。
※装置の装着により歯磨きがしにくくなる部位がありますので、不充分な歯磨きにより、虫歯や歯の変色・歯肉炎や歯周炎が発生することがあります。
※歯を動かし終わった後に、リテーナーの使用不足や歯ぎしりなどの癖の影響で、後戻りや新たな不正咬合が出現する場合があります。
※その他詳細は「よくある質問」にも記載がありますのでご参照ください。
※治療期間は症例により異なりますが、乳歯の残っているお子さんの治療の場合、第一期治療で12~24か月、経過観察期間後の第二期治療で12~24か月を要することがあります。
※表示されている<治療にかかった費用>は、契約を行った当時の治療費(税抜)です。現在の治療費の詳細については、「料金表」をご参照ください。
No.22V-210
- 主な症状:
- 下顎前突
- その他の症状:
- 欠損歯
- 年齢:
- 32歳
- 性別:
- 女性
- 抜歯部位
- 上:
- 8448欠
- 下:
- 8448欠
- 主な使用装置:
- FEA 022
- 治療にかかった費用:
- 保険
かみ合わせが悪い、顎が出ているのを治したいと来院されました。驚くことに、これまで小児期から成人にかけて3回も矯正治療を行っており、歯根吸収も著しい骨格性の受け口ということで、大変な難症例でした。2年半、30回程度の通院が必要でした。
外科的矯正治療には、矯正治療単独で行った場合のリスクや副作用に加えて、外科手術のもつリスクがあります。全身麻酔や入院の必要性、術後の疼痛や顔の腫れ、手術部位周囲の感覚麻痺などがそれにあたります。
厚生労働省のガイドラインを守るために書くのならば、この症例のリスクは前記のようになるでしょうが、このケースに関しては「骨格のズレを度外視?もしくは見逃し?して矯正治療を行うことのリスク」が最大限に表れていると言えるかもしれません。
- ≫治療前
-
上顎
下顎
前歯の関係など
右側
正面
左側
- ≫治療後
-
上顎
下顎
前歯の関係など
右側
正面
左側
※歯科矯正治療による歯の移動による主なリスク(副作用)としては、歯根吸収(歯の根の先が短くなること)や歯肉退縮(歯ぐきが下がること)があります。
※歯を移動する力により、痛みや違和感が出る場合があります。矯正装置の刺激で歯肉の炎症や口内炎が生じる場合があります。
※装置の装着により歯磨きがしにくくなる部位がありますので、不充分な歯磨きにより、虫歯や歯の変色・歯肉炎や歯周炎が発生することがあります。
※歯を動かし終わった後に、リテーナーの使用不足や歯ぎしりなどの癖の影響で、後戻りや新たな不正咬合が出現する場合があります。
※その他詳細は「よくある質問」にも記載がありますのでご参照ください。
※治療期間は症例により異なりますが、乳歯の残っているお子さんの治療の場合、第一期治療で12~24か月、経過観察期間後の第二期治療で12~24か月を要することがあります。
※表示されている<治療にかかった費用>は、契約を行った当時の治療費(税抜)です。現在の治療費の詳細については、「料金表」をご参照ください。











