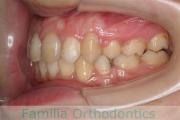
2026年2月
No.23V-478
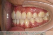
- 主な症状:
- 叢生
- 年齢:
- 30歳
- 性別:
- 男性
- 抜歯部位
- 上:
- 44済
- 下:
- 8558済
- 主な使用装置:
- FEA 022
- 治療にかかった費用:
- 76万円
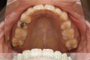
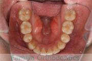
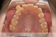
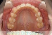
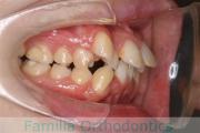
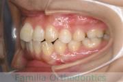
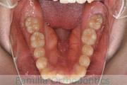
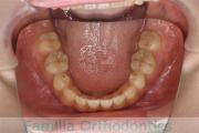
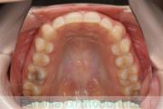
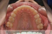
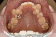
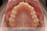
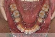
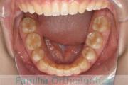
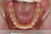
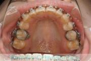
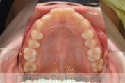
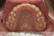
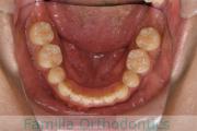
右上の歯が重なっているところが邪魔になるとのことで矯正治療を始められた患者さんで、札幌から転院されました。当院で約1年半、15回程度の通院が必要でした。叢生(でこぼこ、凹凸、ガタガタ)が強く、後戻りのリスクが高いケースです。
- ≫治療前
-
上顎
下顎
前歯の関係など
右側
正面
左側
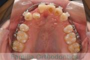
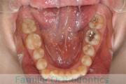
- ≫治療中 ステップ1
-
上顎
下顎
前歯の関係など
右側
正面
左側
- ≫治療後
-
上顎
下顎
前歯の関係など
右側
正面
左側
※歯科矯正治療による歯の移動による主なリスク(副作用)としては、歯根吸収(歯の根の先が短くなること)や歯肉退縮(歯ぐきが下がること)があります。
※歯を移動する力により、痛みや違和感が出る場合があります。矯正装置の刺激で歯肉の炎症や口内炎が生じる場合があります。
※装置の装着により歯磨きがしにくくなる部位がありますので、不充分な歯磨きにより、虫歯や歯の変色・歯肉炎や歯周炎が発生することがあります。
※歯を動かし終わった後に、リテーナーの使用不足や歯ぎしりなどの癖の影響で、後戻りや新たな不正咬合が出現する場合があります。
※その他詳細は「よくある質問」にも記載がありますのでご参照ください。
※治療期間は症例により異なりますが、乳歯の残っているお子さんの治療の場合、第一期治療で12~24か月、経過観察期間後の第二期治療で12~24か月を要することがあります。
※表示されている<治療にかかった費用>は、契約を行った当時の治療費(税抜)です。現在の治療費の詳細については、「料金表」をご参照ください。
No.22V-185
- 主な症状:
- 上下顎前突
- 年齢:
- 28歳
- 性別:
- 女性
- 抜歯部位
- 上:
- 44
- 下:
- 448
- 主な使用装置:
- FEA 022
- 治療にかかった費用:
- 90万円
口元に力が入ってしまうのを治したいということで来院されました。上の側切歯が小さいのですが、しっかり前歯を後退させたいということで。上下左右から小臼歯を抜歯してマルチブラケット法にて治療を行い、移動後に側切歯の補綴(かぶせ物)処置をしました。
約2年半、30回程度の通院が必要でした。
側切歯が小さい場合、上下の歯のバランスが悪いため、最終段階で人工的な補綴物が必要になります。補綴物には破損や脱離のリスクがあります。
- ≫治療前
-
上顎
下顎
前歯の関係など
右側
正面
左側
- ≫治療後
-
上顎
下顎
前歯の関係など
右側
正面
左側
※歯科矯正治療による歯の移動による主なリスク(副作用)としては、歯根吸収(歯の根の先が短くなること)や歯肉退縮(歯ぐきが下がること)があります。
※歯を移動する力により、痛みや違和感が出る場合があります。矯正装置の刺激で歯肉の炎症や口内炎が生じる場合があります。
※装置の装着により歯磨きがしにくくなる部位がありますので、不充分な歯磨きにより、虫歯や歯の変色・歯肉炎や歯周炎が発生することがあります。
※歯を動かし終わった後に、リテーナーの使用不足や歯ぎしりなどの癖の影響で、後戻りや新たな不正咬合が出現する場合があります。
※その他詳細は「よくある質問」にも記載がありますのでご参照ください。
※治療期間は症例により異なりますが、乳歯の残っているお子さんの治療の場合、第一期治療で12~24か月、経過観察期間後の第二期治療で12~24か月を要することがあります。
※表示されている<治療にかかった費用>は、契約を行った当時の治療費(税抜)です。現在の治療費の詳細については、「料金表」をご参照ください。
No.21V-298
- 主な症状:
- 上顎前突
- その他の症状:
- 叢生
- 年齢:
- 25歳
- 性別:
- 女性
- 抜歯部位
- 上:
- 44
- 下:
- 55
- 主な使用装置:
- FEA
- 治療にかかった費用:
- 90万円
でこぼこと口元が出ている横顔が気になるとのことで来院されました。重度の叢生(ガタガタ)と側方へのズレがあるため、アンカースクリューを併用したマルチブラケット法にて治療を行いました。3年弱、35回程度の通院をしていただきました。叢生が強いため、部分的にガタガタが再発・後戻りするリスクが高いケースでした。
- ≫治療前
-
上顎
下顎
前歯の関係など
右側
正面
左側
- ≫治療後
-
上顎
下顎
前歯の関係など
右側
正面
左側
※歯科矯正治療による歯の移動による主なリスク(副作用)としては、歯根吸収(歯の根の先が短くなること)や歯肉退縮(歯ぐきが下がること)があります。
※歯を移動する力により、痛みや違和感が出る場合があります。矯正装置の刺激で歯肉の炎症や口内炎が生じる場合があります。
※装置の装着により歯磨きがしにくくなる部位がありますので、不充分な歯磨きにより、虫歯や歯の変色・歯肉炎や歯周炎が発生することがあります。
※歯を動かし終わった後に、リテーナーの使用不足や歯ぎしりなどの癖の影響で、後戻りや新たな不正咬合が出現する場合があります。
※その他詳細は「よくある質問」にも記載がありますのでご参照ください。
※治療期間は症例により異なりますが、乳歯の残っているお子さんの治療の場合、第一期治療で12~24か月、経過観察期間後の第二期治療で12~24か月を要することがあります。
※表示されている<治療にかかった費用>は、契約を行った当時の治療費(税抜)です。現在の治療費の詳細については、「料金表」をご参照ください。
No.22V-264
- 主な症状:
- 上顎前突
- 年齢:
- 23歳
- 性別:
- 女性
- 主な使用装置:
- Invisalign
- 治療にかかった費用:
- 90万円
出っ歯と下の歯のガタガタを治したいということで来院されました。下顎の後退はありましたが、小臼歯非抜歯で上顎の歯列を遠心に移動し、それからインビザラインにて排列を行いました。2年強、30回程度の通院が必要でした。インビザライン/Invisalign®(薬機法および医薬品副作用被害救済制度の対象外)には、患者さんの使用時間が治療の成否を左右するリスクがあります。
- ≫治療前
-
上顎
下顎
前歯の関係など
右側
正面
左側
- ≫治療後
-
※注意※ インビザライン Invisalign®は、国外のアライン社工場で製造されたマウスピースを輸入する形式となるため、国内では未承認器材扱いです。このため、薬機法対象外の矯正歯科装置であり、医薬品副作用被害救済制度の対象外となる場合があります。ただしすでに我が国を含む海外の多数の国で矯正治療に用いられております。当院では、症例を選んで選択させていただいておりますので、インビザライン使用のご希望に添えない場合もございます。
上顎
下顎
前歯の関係など
右側
正面
左側
※歯科矯正治療による歯の移動による主なリスク(副作用)としては、歯根吸収(歯の根の先が短くなること)や歯肉退縮(歯ぐきが下がること)があります。
※歯を移動する力により、痛みや違和感が出る場合があります。矯正装置の刺激で歯肉の炎症や口内炎が生じる場合があります。
※装置の装着により歯磨きがしにくくなる部位がありますので、不充分な歯磨きにより、虫歯や歯の変色・歯肉炎や歯周炎が発生することがあります。
※歯を動かし終わった後に、リテーナーの使用不足や歯ぎしりなどの癖の影響で、後戻りや新たな不正咬合が出現する場合があります。
※その他詳細は「よくある質問」にも記載がありますのでご参照ください。
※治療期間は症例により異なりますが、乳歯の残っているお子さんの治療の場合、第一期治療で12~24か月、経過観察期間後の第二期治療で12~24か月を要することがあります。
※表示されている<治療にかかった費用>は、契約を行った当時の治療費(税抜)です。現在の治療費の詳細については、「料金表」をご参照ください。
No.23V-008
- 主な症状:
- 叢生
- その他の症状:
- 上下顎前突
- 年齢:
- 35歳
- 性別:
- 男性
- 抜歯部位
- 上:
- 44
- 下:
- 44
- 主な使用装置:
- FEA
- 治療にかかった費用:
- 92万円
虫歯になりにくい歯並びにしたい、とのことで来院されました。小臼歯は非抜歯で、マウスピース型矯正装置の一つ、マウスピース型矯正装置のひとつ、インビザライン/Invisalign®(薬機法および医薬品副作用被害救済制度の対象外)を用いて治療を行いました。2年強・25回程度の通院が必要でした。インビザラインは患者さんの使用状況に治療結果が左右されるリスクがあります。
- ≫治療前
-
上顎
下顎
前歯の関係など
右側
正面
左側
- ≫治療後
-
※注意※ インビザライン Invisalign®は、国外のアライン社工場で製造されたマウスピースを輸入する形式となるため、国内では未承認器材扱いです。このため、薬機法対象外の矯正歯科装置であり、医薬品副作用被害救済制度の対象外となる場合があります。ただしすでに我が国を含む海外の多数の国で矯正治療に用いられております。当院では、症例を選んで選択させていただいておりますので、インビザライン使用のご希望に添えない場合もございます。
上顎
下顎
前歯の関係など
右側
正面
左側
※歯科矯正治療による歯の移動による主なリスク(副作用)としては、歯根吸収(歯の根の先が短くなること)や歯肉退縮(歯ぐきが下がること)があります。
※歯を移動する力により、痛みや違和感が出る場合があります。矯正装置の刺激で歯肉の炎症や口内炎が生じる場合があります。
※装置の装着により歯磨きがしにくくなる部位がありますので、不充分な歯磨きにより、虫歯や歯の変色・歯肉炎や歯周炎が発生することがあります。
※歯を動かし終わった後に、リテーナーの使用不足や歯ぎしりなどの癖の影響で、後戻りや新たな不正咬合が出現する場合があります。
※その他詳細は「よくある質問」にも記載がありますのでご参照ください。
※治療期間は症例により異なりますが、乳歯の残っているお子さんの治療の場合、第一期治療で12~24か月、経過観察期間後の第二期治療で12~24か月を要することがあります。
※表示されている<治療にかかった費用>は、契約を行った当時の治療費(税抜)です。現在の治療費の詳細については、「料金表」をご参照ください。
No.22V-377
- 主な症状:
- 開咬
- その他の症状:
- 叢生
- 年齢:
- 15歳
- 性別:
- 女性
- 抜歯部位
- 上:
- 44
- 下:
- 8448
- 主な使用装置:
- FEA 022
- 治療にかかった費用:
- 88万円
八重歯が一本出ているのが気になるとのことで来院されました。開咬(前歯が咬み合わない)と叢生(八重歯)の症例でしたので、小臼歯を上下左右から抜歯して、マルチブラケット法にて治療を行いました。2年強、30回程度の通院が必要でした。開咬は舌の癖の影響が強く、後戻りと舌の癖の関連が強いケースです。
- ≫治療前
-
上顎
下顎
前歯の関係など
右側
正面
左側
- ≫治療後
-
上顎
下顎
前歯の関係など
右側
正面
左側
※歯科矯正治療による歯の移動による主なリスク(副作用)としては、歯根吸収(歯の根の先が短くなること)や歯肉退縮(歯ぐきが下がること)があります。
※歯を移動する力により、痛みや違和感が出る場合があります。矯正装置の刺激で歯肉の炎症や口内炎が生じる場合があります。
※装置の装着により歯磨きがしにくくなる部位がありますので、不充分な歯磨きにより、虫歯や歯の変色・歯肉炎や歯周炎が発生することがあります。
※歯を動かし終わった後に、リテーナーの使用不足や歯ぎしりなどの癖の影響で、後戻りや新たな不正咬合が出現する場合があります。
※その他詳細は「よくある質問」にも記載がありますのでご参照ください。
※治療期間は症例により異なりますが、乳歯の残っているお子さんの治療の場合、第一期治療で12~24か月、経過観察期間後の第二期治療で12~24か月を要することがあります。
※表示されている<治療にかかった費用>は、契約を行った当時の治療費(税抜)です。現在の治療費の詳細については、「料金表」をご参照ください。
No.22V-398
- 主な症状:
- 叢生
- 年齢:
- 14歳
- 性別:
- 男性
- 抜歯部位
- 上:
- 8448
- 下:
- 8448
- 主な使用装置:
- FEA 022
- 治療にかかった費用:
- 88万円
八重歯が気になるのを治したいということで来院されました。上下左右から小臼歯を抜歯してマルチブラケット法にて治療を行いました。2年半、30回程度の通院が必要でした。叢生が強く、保定中の後戻りのリスクが高いため、保定がとても重要なケースです。
- ≫治療前
-
上顎
下顎
前歯の関係など
右側
正面
左側
- ≫治療中 ステップ1
-
上顎
下顎
前歯の関係など
右側
正面
左側
- ≫治療後
-
上顎
下顎
前歯の関係など
右側
正面
左側
※歯科矯正治療による歯の移動による主なリスク(副作用)としては、歯根吸収(歯の根の先が短くなること)や歯肉退縮(歯ぐきが下がること)があります。
※歯を移動する力により、痛みや違和感が出る場合があります。矯正装置の刺激で歯肉の炎症や口内炎が生じる場合があります。
※装置の装着により歯磨きがしにくくなる部位がありますので、不充分な歯磨きにより、虫歯や歯の変色・歯肉炎や歯周炎が発生することがあります。
※歯を動かし終わった後に、リテーナーの使用不足や歯ぎしりなどの癖の影響で、後戻りや新たな不正咬合が出現する場合があります。
※その他詳細は「よくある質問」にも記載がありますのでご参照ください。
※治療期間は症例により異なりますが、乳歯の残っているお子さんの治療の場合、第一期治療で12~24か月、経過観察期間後の第二期治療で12~24か月を要することがあります。
※表示されている<治療にかかった費用>は、契約を行った当時の治療費(税抜)です。現在の治療費の詳細については、「料金表」をご参照ください。
No.22V-785
- 主な症状:
- 叢生
- 年齢:
- 33歳
- 性別:
- 女性
- 抜歯部位
- 上:
- 83|4
- 下:
- 8448
- 主な使用装置:
- FEA 022
- 治療にかかった費用:
- 92万円
咬み合せが悪く、ガタつきを治したいということで来院されました。右上犬歯の著しい位置異常があるため、様々な抜歯部位・治療方針の候補がありましたが、最終的には右上は犬歯、残りは小臼歯抜歯をしてマルチブラケット法にて治療を行いました。丸2年、25回程度の通院が必要でした。
右上犬歯の移動を無理に行うと、強い歯肉退縮を起こすリスクが高かったと考えています。
- ≫治療前
-
上顎
下顎
前歯の関係など
右側
正面
左側
- ≫治療後
-
上顎
下顎
前歯の関係など
右側
正面
左側
※歯科矯正治療による歯の移動による主なリスク(副作用)としては、歯根吸収(歯の根の先が短くなること)や歯肉退縮(歯ぐきが下がること)があります。
※歯を移動する力により、痛みや違和感が出る場合があります。矯正装置の刺激で歯肉の炎症や口内炎が生じる場合があります。
※装置の装着により歯磨きがしにくくなる部位がありますので、不充分な歯磨きにより、虫歯や歯の変色・歯肉炎や歯周炎が発生することがあります。
※歯を動かし終わった後に、リテーナーの使用不足や歯ぎしりなどの癖の影響で、後戻りや新たな不正咬合が出現する場合があります。
※その他詳細は「よくある質問」にも記載がありますのでご参照ください。
※治療期間は症例により異なりますが、乳歯の残っているお子さんの治療の場合、第一期治療で12~24か月、経過観察期間後の第二期治療で12~24か月を要することがあります。
※表示されている<治療にかかった費用>は、契約を行った当時の治療費(税抜)です。現在の治療費の詳細については、「料金表」をご参照ください。
No.19V-308
- 主な症状:
- 上顎前突
- その他の症状:
- 開咬
- 年齢:
- 26歳
- 性別:
- 女性
- 抜歯部位
- 上:
- 44
- 下:
- 5|E
- 主な使用装置:
- FEA 022
- 治療にかかった費用:
- 15万+健康保険
上の前歯が大きく、出ている感じかんだ時に上下に隙間ができるのを治したいとのことで来院されました。左下の第二小臼歯が先天欠損している、重度の上顎前突・開咬で、オペがの併用が必要なケースでした。スプリント療法後にマルチブラケット法、手術を行い、合計4年60回程度の長期の通院が必要でした。
外科矯正には、手術や全身麻酔のもつ特有のリスクがあります。
- ≫治療前
-
上顎
下顎
前歯の関係など
右側
正面
左側
- ≫治療中 ステップ1
-
上顎
下顎
前歯の関係など
右側
正面
左側
- ≫治療後
-
上顎
下顎
前歯の関係など
右側
正面
左側
※歯科矯正治療による歯の移動による主なリスク(副作用)としては、歯根吸収(歯の根の先が短くなること)や歯肉退縮(歯ぐきが下がること)があります。
※歯を移動する力により、痛みや違和感が出る場合があります。矯正装置の刺激で歯肉の炎症や口内炎が生じる場合があります。
※装置の装着により歯磨きがしにくくなる部位がありますので、不充分な歯磨きにより、虫歯や歯の変色・歯肉炎や歯周炎が発生することがあります。
※歯を動かし終わった後に、リテーナーの使用不足や歯ぎしりなどの癖の影響で、後戻りや新たな不正咬合が出現する場合があります。
※その他詳細は「よくある質問」にも記載がありますのでご参照ください。
※治療期間は症例により異なりますが、乳歯の残っているお子さんの治療の場合、第一期治療で12~24か月、経過観察期間後の第二期治療で12~24か月を要することがあります。
※表示されている<治療にかかった費用>は、契約を行った当時の治療費(税抜)です。現在の治療費の詳細については、「料金表」をご参照ください。
No.22V-211
- 主な症状:
- 上下顎前突
- その他の症状:
- 交叉咬合
- 年齢:
- 17歳
- 性別:
- 女性
- 抜歯部位
- 上:
- non
- 下:
- non
- 主な使用装置:
- Invisalign
- 治療にかかった費用:
- 90万円
奥歯の歯並び、特に7番のすれ違いを治して欲しいとのことで来院されました。特に左下の舌側への倒れこみが強い、叢生(でこぼこ、ガタガタ)の症例です。マウスピース型矯正装置の一つ、マウスピース型矯正装置のひとつ、インビザライン/Invisalign®(薬機法および医薬品副作用被害救済制度の対象外)を用いて治療を行いました。にて治療を行いました。2年弱、20回程度通院していただきました。インビザラインは、患者さんの使用状況により治療効果が上下してしまうリスクがあります。
- ≫治療前
-
上顎
下顎
前歯の関係など
右側
正面
左側
- ≫治療後
-
※注意※ インビザライン Invisalign®は、国外のアライン社工場で製造されたマウスピースを輸入する形式となるため、国内では未承認器材扱いです。このため、薬機法対象外の矯正歯科装置であり、医薬品副作用被害救済制度の対象外となる場合があります。ただしすでに我が国を含む海外の多数の国で矯正治療に用いられております。当院では、症例を選んで選択させていただいておりますので、インビザライン使用のご希望に添えない場合もございます。
上顎
下顎
前歯の関係など
右側
正面
左側
※歯科矯正治療による歯の移動による主なリスク(副作用)としては、歯根吸収(歯の根の先が短くなること)や歯肉退縮(歯ぐきが下がること)があります。
※歯を移動する力により、痛みや違和感が出る場合があります。矯正装置の刺激で歯肉の炎症や口内炎が生じる場合があります。
※装置の装着により歯磨きがしにくくなる部位がありますので、不充分な歯磨きにより、虫歯や歯の変色・歯肉炎や歯周炎が発生することがあります。
※歯を動かし終わった後に、リテーナーの使用不足や歯ぎしりなどの癖の影響で、後戻りや新たな不正咬合が出現する場合があります。
※その他詳細は「よくある質問」にも記載がありますのでご参照ください。
※治療期間は症例により異なりますが、乳歯の残っているお子さんの治療の場合、第一期治療で12~24か月、経過観察期間後の第二期治療で12~24か月を要することがあります。
※表示されている<治療にかかった費用>は、契約を行った当時の治療費(税抜)です。現在の治療費の詳細については、「料金表」をご参照ください。
No.21V-043
- 主な症状:
- 上顎前突
- その他の症状:
- 叢生
- 年齢:
- 22歳
- 性別:
- 女性
- 主な使用装置:
- FEA
- 治療にかかった費用:
- 90万円
出っ歯と八重歯を治したいということで来院されました。上下左右から小臼歯を抜歯してマルチブラケット法にて治療を行いました。アンカースクリューを併用しています。3年強、40回程度の通院をしていただきました。小学生の時に上だけ並べたことがあるため、歯根吸収が進行するリスクの高いケースでした。
- ≫治療前
-
上顎
下顎
前歯の関係など
右側
正面
左側
- ≫治療後
-
上顎
下顎
前歯の関係など
右側
正面
左側
※歯科矯正治療による歯の移動による主なリスク(副作用)としては、歯根吸収(歯の根の先が短くなること)や歯肉退縮(歯ぐきが下がること)があります。
※歯を移動する力により、痛みや違和感が出る場合があります。矯正装置の刺激で歯肉の炎症や口内炎が生じる場合があります。
※装置の装着により歯磨きがしにくくなる部位がありますので、不充分な歯磨きにより、虫歯や歯の変色・歯肉炎や歯周炎が発生することがあります。
※歯を動かし終わった後に、リテーナーの使用不足や歯ぎしりなどの癖の影響で、後戻りや新たな不正咬合が出現する場合があります。
※その他詳細は「よくある質問」にも記載がありますのでご参照ください。
※治療期間は症例により異なりますが、乳歯の残っているお子さんの治療の場合、第一期治療で12~24か月、経過観察期間後の第二期治療で12~24か月を要することがあります。
※表示されている<治療にかかった費用>は、契約を行った当時の治療費(税抜)です。現在の治療費の詳細については、「料金表」をご参照ください。
No.21V-755
- 主な症状:
- 上下顎前突
- その他の症状:
- 叢生
- 年齢:
- 21歳
- 性別:
- 男性
- 抜歯部位
- 上:
- 8448
- 下:
- 8448
- 主な使用装置:
- FEA 022
- 治療にかかった費用:
- 87万円
横顔、E-lineを治したいとのことで来院されました。叢生(でこぼこ)と上下顎前突(口元の突出)、大臼歯の萌出不全があるため、上下左右から小臼歯を抜歯してマルチブラケット法にて治療を行いました。2年半、30回程度の通院が必要でした。
上下とも前方への前歯の突出が強く、歯根吸収のリスクが高いケースでした。
- ≫治療前
-
上顎
下顎
前歯の関係など
右側
正面
左側
- ≫治療後
-
上顎
下顎
前歯の関係など
右側
正面
左側
※歯科矯正治療による歯の移動による主なリスク(副作用)としては、歯根吸収(歯の根の先が短くなること)や歯肉退縮(歯ぐきが下がること)があります。
※歯を移動する力により、痛みや違和感が出る場合があります。矯正装置の刺激で歯肉の炎症や口内炎が生じる場合があります。
※装置の装着により歯磨きがしにくくなる部位がありますので、不充分な歯磨きにより、虫歯や歯の変色・歯肉炎や歯周炎が発生することがあります。
※歯を動かし終わった後に、リテーナーの使用不足や歯ぎしりなどの癖の影響で、後戻りや新たな不正咬合が出現する場合があります。
※その他詳細は「よくある質問」にも記載がありますのでご参照ください。
※治療期間は症例により異なりますが、乳歯の残っているお子さんの治療の場合、第一期治療で12~24か月、経過観察期間後の第二期治療で12~24か月を要することがあります。
※表示されている<治療にかかった費用>は、契約を行った当時の治療費(税抜)です。現在の治療費の詳細については、「料金表」をご参照ください。











