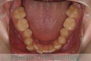
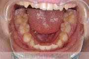
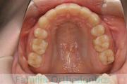
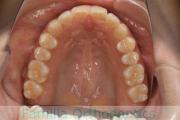
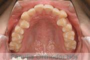
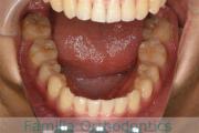
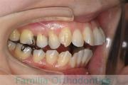
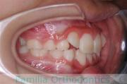
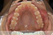
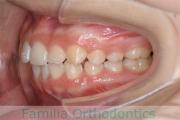
2025年11月
No.23V-420
- 主な症状:
- 上顎前突
- 年齢:
- 27歳
- 性別:
- 女性
- 抜歯部位
- 上:
- 44済
- 主な使用装置:
- FEA 022
- 治療にかかった費用:
- 50万円
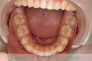
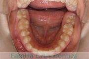
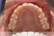
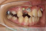
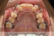
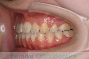
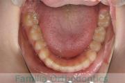
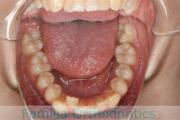
仙台から転居に伴い、当院に転院されました。上下のかみ合わせのギャップがまだかなり残っていたため、歯科矯正用アンカースクリューを埋入して、1年強治療を継続しました。アゴの位置のずれも含めて解消して、きれいな仕上がりになっています。
上の前歯の移動量が大きく、歯根吸収のリスクが高い状況でした。
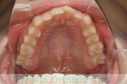
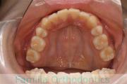
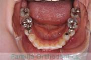
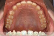
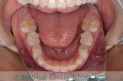
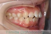
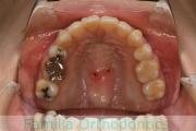
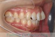
- ≫治療前
-
上顎
下顎
前歯の関係など
右側
正面
左側
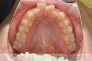
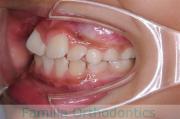
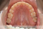
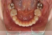
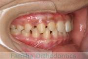
- ≫治療後
-
上顎
下顎
前歯の関係など
右側
正面
左側
※歯科矯正治療による歯の移動による主なリスク(副作用)としては、歯根吸収(歯の根の先が短くなること)や歯肉退縮(歯ぐきが下がること)があります。
※歯を移動する力により、痛みや違和感が出る場合があります。矯正装置の刺激で歯肉の炎症や口内炎が生じる場合があります。
※装置の装着により歯磨きがしにくくなる部位がありますので、不充分な歯磨きにより、虫歯や歯の変色・歯肉炎や歯周炎が発生することがあります。
※歯を動かし終わった後に、リテーナーの使用不足や歯ぎしりなどの癖の影響で、後戻りや新たな不正咬合が出現する場合があります。
※その他詳細は「よくある質問」にも記載がありますのでご参照ください。
※治療期間は症例により異なりますが、乳歯の残っているお子さんの治療の場合、第一期治療で12~24か月、経過観察期間後の第二期治療で12~24か月を要することがあります。
※表示されている<治療にかかった費用>は、契約を行った当時の治療費(税抜)です。現在の治療費の詳細については、「料金表」をご参照ください。
No.23V-100
- 主な症状:
- 上顎前突
- その他の症状:
- 叢生
- 年齢:
- 14歳
- 性別:
- 女性
- 抜歯部位
- 上:
- 44
- 下:
- 55
- 主な使用装置:
- FEA
歯並びを治したいということで来院されました。下あごがやや右側に偏位して後退している、上顎前突(出っ歯)でした。上下左右から小臼歯を抜歯して、歯科矯正用アンカースクリューを併用したマルチブラケット法にて治療を行いました。約2年、24回の来院をしていただきました。
下顎の後退はいびきなどの上部気道の障害が出やすいと考えられます。
- ≫治療前
-
上顎
下顎
前歯の関係など
右側
正面
左側
- ≫治療後
-
上顎
下顎
前歯の関係など
右側
正面
左側
※歯科矯正治療による歯の移動による主なリスク(副作用)としては、歯根吸収(歯の根の先が短くなること)や歯肉退縮(歯ぐきが下がること)があります。
※歯を移動する力により、痛みや違和感が出る場合があります。矯正装置の刺激で歯肉の炎症や口内炎が生じる場合があります。
※装置の装着により歯磨きがしにくくなる部位がありますので、不充分な歯磨きにより、虫歯や歯の変色・歯肉炎や歯周炎が発生することがあります。
※歯を動かし終わった後に、リテーナーの使用不足や歯ぎしりなどの癖の影響で、後戻りや新たな不正咬合が出現する場合があります。
※その他詳細は「よくある質問」にも記載がありますのでご参照ください。
※治療期間は症例により異なりますが、乳歯の残っているお子さんの治療の場合、第一期治療で12~24か月、経過観察期間後の第二期治療で12~24か月を要することがあります。
※表示されている<治療にかかった費用>は、契約を行った当時の治療費(税抜)です。現在の治療費の詳細については、「料金表」をご参照ください。
No.22V-759
- 主な症状:
- 叢生
- その他の症状:
- 上顎前突
- 年齢:
- 32歳
- 性別:
- 女性
- 抜歯部位
- 上:
- non
- 下:
- non
- 主な使用装置:
- Invisalign
- 治療にかかった費用:
- 95万円
上の前歯の並びが気になるのできれいにしたい、ということで来院されました。マウスピース型矯正装置のひとつ、インビザライン/InvisalignR(薬機法および医薬品副作用被害救済制度の対象外)を用いて治療しました。
非抜歯で2年弱、20回程度の通院で治療が完了しました。
マウスピース矯正は、患者さんの協力に治療結果が左右されるところはリスクと言えるかもしれません。
- ≫治療前
-
上顎
下顎
前歯の関係など
右側
正面
左側
- ≫治療後
-
※注意※ インビザライン Invisalign®は、国外のアライン社工場で製造されたマウスピースを輸入する形式となるため、国内では未承認器材扱いです。このため、薬機法対象外の矯正歯科装置であり、医薬品副作用被害救済制度の対象外となる場合があります。ただしすでに我が国を含む海外の多数の国で矯正治療に用いられております。当院では、症例を選んで選択させていただいておりますので、インビザライン使用のご希望に添えない場合もございます。
上顎
下顎
前歯の関係など
右側
正面
左側
※歯科矯正治療による歯の移動による主なリスク(副作用)としては、歯根吸収(歯の根の先が短くなること)や歯肉退縮(歯ぐきが下がること)があります。
※歯を移動する力により、痛みや違和感が出る場合があります。矯正装置の刺激で歯肉の炎症や口内炎が生じる場合があります。
※装置の装着により歯磨きがしにくくなる部位がありますので、不充分な歯磨きにより、虫歯や歯の変色・歯肉炎や歯周炎が発生することがあります。
※歯を動かし終わった後に、リテーナーの使用不足や歯ぎしりなどの癖の影響で、後戻りや新たな不正咬合が出現する場合があります。
※その他詳細は「よくある質問」にも記載がありますのでご参照ください。
※治療期間は症例により異なりますが、乳歯の残っているお子さんの治療の場合、第一期治療で12~24か月、経過観察期間後の第二期治療で12~24か月を要することがあります。
※表示されている<治療にかかった費用>は、契約を行った当時の治療費(税抜)です。現在の治療費の詳細については、「料金表」をご参照ください。
No.19V-051
- 主な症状:
- 叢生
- 年齢:
- 13歳
- 性別:
- 男性
- 抜歯部位
- 上:
- 55
- 主な使用装置:
- FEA
- 治療にかかった費用:
- 90万円
犬歯が八の字になっているので何とかしてほしいということで来院されました。上顎犬歯が左右とも前歯の方に向いていて、一期治療でまずは萌出誘導を行いました。
二期治療は、出っ歯の要素が強かったため、上顎のみ第二小臼歯を抜歯しています。
二期治療は2年強、25回程度の通院が必要でした。犬歯の埋伏歯は、うまく出すことができない場合があったり、出す際に周囲の歯の歯根に傷をつけるリスクがあったりします。
- ≫治療前
-
上顎
下顎
前歯の関係など
右側
正面
左側
- ≫治療中 ステップ1
-
上顎
下顎
前歯の関係など
右側
正面
左側
- ≫治療後
-
上顎
下顎
前歯の関係など
右側
正面
左側
※歯科矯正治療による歯の移動による主なリスク(副作用)としては、歯根吸収(歯の根の先が短くなること)や歯肉退縮(歯ぐきが下がること)があります。
※歯を移動する力により、痛みや違和感が出る場合があります。矯正装置の刺激で歯肉の炎症や口内炎が生じる場合があります。
※装置の装着により歯磨きがしにくくなる部位がありますので、不充分な歯磨きにより、虫歯や歯の変色・歯肉炎や歯周炎が発生することがあります。
※歯を動かし終わった後に、リテーナーの使用不足や歯ぎしりなどの癖の影響で、後戻りや新たな不正咬合が出現する場合があります。
※その他詳細は「よくある質問」にも記載がありますのでご参照ください。
※治療期間は症例により異なりますが、乳歯の残っているお子さんの治療の場合、第一期治療で12~24か月、経過観察期間後の第二期治療で12~24か月を要することがあります。
※表示されている<治療にかかった費用>は、契約を行った当時の治療費(税抜)です。現在の治療費の詳細については、「料金表」をご参照ください。
No.19V-539
- 主な症状:
- 叢生
- 年齢:
- 9歳
- 性別:
- 女性
- 主な使用装置:
- Invisalign
- 治療にかかった費用:
- 93万円
下の歯並びを綺麗にしたいということで来院されました。マウスピース型矯正装置のひとつ、インビザライン/Invisalign®(薬機法および医薬品副作用被害救済制度の対象外)を用いて治療しました。
非抜歯で1年半、20回程度の通院で完了しています。
- ≫治療前
-
上顎
下顎
前歯の関係など
右側
正面
左側
- ≫治療後
-
※注意※ インビザライン Invisalign®は、国外のアライン社工場で製造されたマウスピースを輸入する形式となるため、国内では未承認器材扱いです。このため、薬機法対象外の矯正歯科装置であり、医薬品副作用被害救済制度の対象外となる場合があります。ただしすでに我が国を含む海外の多数の国で矯正治療に用いられております。当院では、症例を選んで選択させていただいておりますので、インビザライン使用のご希望に添えない場合もございます。
上顎
下顎
前歯の関係など
右側
正面
左側
※歯科矯正治療による歯の移動による主なリスク(副作用)としては、歯根吸収(歯の根の先が短くなること)や歯肉退縮(歯ぐきが下がること)があります。
※歯を移動する力により、痛みや違和感が出る場合があります。矯正装置の刺激で歯肉の炎症や口内炎が生じる場合があります。
※装置の装着により歯磨きがしにくくなる部位がありますので、不充分な歯磨きにより、虫歯や歯の変色・歯肉炎や歯周炎が発生することがあります。
※歯を動かし終わった後に、リテーナーの使用不足や歯ぎしりなどの癖の影響で、後戻りや新たな不正咬合が出現する場合があります。
※その他詳細は「よくある質問」にも記載がありますのでご参照ください。
※治療期間は症例により異なりますが、乳歯の残っているお子さんの治療の場合、第一期治療で12~24か月、経過観察期間後の第二期治療で12~24か月を要することがあります。
※表示されている<治療にかかった費用>は、契約を行った当時の治療費(税抜)です。現在の治療費の詳細については、「料金表」をご参照ください。
No.15V-363
- 主な症状:
- 反対咬合
- その他の症状:
- 空隙歯列
- 年齢:
- 8歳
- 性別:
- 男性
- 主な使用装置:
- Invisalign
- 治療にかかった費用:
- 93万円
前歯が咬み合わないということで小学生の時に来院されました。反対咬合(受け口)は一期治療で対応し、高校生になるまで成長を観察しました。二期治療の検査の際は、空隙歯列となっていました。マウスピースタイプの装置マウスピース型矯正装置のひとつ、インビザライン/Invisalign®(薬機法および医薬品副作用被害救済制度の対象外)で治療を行いました。治療は約2年、15回程度通院をしていただきました。
- ≫治療前
-
上顎
下顎
前歯の関係など
右側
正面
左側
- ≫治療中 ステップ1
-
上顎
下顎
前歯の関係など
右側
正面
左側
- ≫治療後
-
※注意※ インビザライン Invisalign®は、国外のアライン社工場で製造されたマウスピースを輸入する形式となるため、国内では未承認器材扱いです。このため、薬機法対象外の矯正歯科装置であり、医薬品副作用被害救済制度の対象外となる場合があります。ただしすでに我が国を含む海外の多数の国で矯正治療に用いられております。当院では、症例を選んで選択させていただいておりますので、インビザライン使用のご希望に添えない場合もございます。
上顎
下顎
前歯の関係など
右側
正面
左側
※歯科矯正治療による歯の移動による主なリスク(副作用)としては、歯根吸収(歯の根の先が短くなること)や歯肉退縮(歯ぐきが下がること)があります。
※歯を移動する力により、痛みや違和感が出る場合があります。矯正装置の刺激で歯肉の炎症や口内炎が生じる場合があります。
※装置の装着により歯磨きがしにくくなる部位がありますので、不充分な歯磨きにより、虫歯や歯の変色・歯肉炎や歯周炎が発生することがあります。
※歯を動かし終わった後に、リテーナーの使用不足や歯ぎしりなどの癖の影響で、後戻りや新たな不正咬合が出現する場合があります。
※その他詳細は「よくある質問」にも記載がありますのでご参照ください。
※治療期間は症例により異なりますが、乳歯の残っているお子さんの治療の場合、第一期治療で12~24か月、経過観察期間後の第二期治療で12~24か月を要することがあります。
※表示されている<治療にかかった費用>は、契約を行った当時の治療費(税抜)です。現在の治療費の詳細については、「料金表」をご参照ください。
No.23V-336
- 主な症状:
- 上顎前突
- 年齢:
- 14歳
- 性別:
- 女性
- 主な使用装置:
- FEA
- 治療にかかった費用:
- 85万円
上の前歯の隙間が気になるので治したい、ということで来院されました。マウスピース型矯正装置のひとつ、インビザライン/Invisalign®(薬機法および医薬品副作用被害救済制度の対象外)を用いて治療しました。
非抜歯で1年強、12回の通院で治療が完了しました。
- ≫治療前
-
上顎
下顎
前歯の関係など
右側
正面
左側
- ≫治療後
-
※注意※ インビザライン Invisalign®は、国外のアライン社工場で製造されたマウスピースを輸入する形式となるため、国内では未承認器材扱いです。このため、薬機法対象外の矯正歯科装置であり、医薬品副作用被害救済制度の対象外となる場合があります。ただしすでに我が国を含む海外の多数の国で矯正治療に用いられております。当院では、症例を選んで選択させていただいておりますので、インビザライン使用のご希望に添えない場合もございます。
上顎
下顎
前歯の関係など
右側
正面
左側
※歯科矯正治療による歯の移動による主なリスク(副作用)としては、歯根吸収(歯の根の先が短くなること)や歯肉退縮(歯ぐきが下がること)があります。
※歯を移動する力により、痛みや違和感が出る場合があります。矯正装置の刺激で歯肉の炎症や口内炎が生じる場合があります。
※装置の装着により歯磨きがしにくくなる部位がありますので、不充分な歯磨きにより、虫歯や歯の変色・歯肉炎や歯周炎が発生することがあります。
※歯を動かし終わった後に、リテーナーの使用不足や歯ぎしりなどの癖の影響で、後戻りや新たな不正咬合が出現する場合があります。
※その他詳細は「よくある質問」にも記載がありますのでご参照ください。
※治療期間は症例により異なりますが、乳歯の残っているお子さんの治療の場合、第一期治療で12~24か月、経過観察期間後の第二期治療で12~24か月を要することがあります。
※表示されている<治療にかかった費用>は、契約を行った当時の治療費(税抜)です。現在の治療費の詳細については、「料金表」をご参照ください。
No.17V-159
- 主な症状:
- 叢生
- その他の症状:
- 上顎前突
- 年齢:
- 8歳
- 性別:
- 男性
- 主な使用装置:
- FEA
- 治療にかかった費用:
- 90万円
歯並びが悪いのを治したいということで来院されました。前歯の根が短いため、一期治療は最低限拡大するにとどめ、二期治療の時期を待ちました。中学生で再診断したところ、強い叢生(でこぼこ、凹凸、ガタガタ)のため小臼歯を抜歯してマルチブラケット法を行いました。二期の治療期間は約2年、25回程度の通院が必要でした。
短根歯は、移動によって歯根吸収をしたとき、動揺が起こってしまう可能性が高く、ハイリスクな歯です。
- ≫治療前
-
上顎
下顎
前歯の関係など
右側
正面
左側
- ≫治療中 ステップ1
-
上顎
下顎
前歯の関係など
右側
正面
左側
- ≫治療後
-
上顎
下顎
前歯の関係など
右側
正面
左側
※歯科矯正治療による歯の移動による主なリスク(副作用)としては、歯根吸収(歯の根の先が短くなること)や歯肉退縮(歯ぐきが下がること)があります。
※歯を移動する力により、痛みや違和感が出る場合があります。矯正装置の刺激で歯肉の炎症や口内炎が生じる場合があります。
※装置の装着により歯磨きがしにくくなる部位がありますので、不充分な歯磨きにより、虫歯や歯の変色・歯肉炎や歯周炎が発生することがあります。
※歯を動かし終わった後に、リテーナーの使用不足や歯ぎしりなどの癖の影響で、後戻りや新たな不正咬合が出現する場合があります。
※その他詳細は「よくある質問」にも記載がありますのでご参照ください。
※治療期間は症例により異なりますが、乳歯の残っているお子さんの治療の場合、第一期治療で12~24か月、経過観察期間後の第二期治療で12~24か月を要することがあります。
※表示されている<治療にかかった費用>は、契約を行った当時の治療費(税抜)です。現在の治療費の詳細については、「料金表」をご参照ください。
No.14V-301
- 主な症状:
- 叢生
- 年齢:
- 8歳
- 性別:
- 男性
- 抜歯部位
- 上:
- 44
- 主な使用装置:
- FEA
- 治療にかかった費用:
- 90万円
重なって生えているところを治して、きれいにしたいということで来院されました。一期治療で上下歯列を拡大しておきましたが、永久歯が生えた段階で小臼歯抜歯が必要と診断しました。上下左右から小臼歯を抜歯後にマルチブラケット装置を用いて治療を行いました。二期治療は約2年、25回程度の通院が必要でした。
叢生は後戻りのリスクがあるため、保定装置(リテーナー)の適切な使用がとても重要です。
- ≫治療前
-
上顎
下顎
前歯の関係など
右側
正面
左側
- ≫治療中 ステップ1
-
上顎
下顎
前歯の関係など
右側
正面
左側
- ≫治療後
-
上顎
下顎
前歯の関係など
右側
正面
左側
※歯科矯正治療による歯の移動による主なリスク(副作用)としては、歯根吸収(歯の根の先が短くなること)や歯肉退縮(歯ぐきが下がること)があります。
※歯を移動する力により、痛みや違和感が出る場合があります。矯正装置の刺激で歯肉の炎症や口内炎が生じる場合があります。
※装置の装着により歯磨きがしにくくなる部位がありますので、不充分な歯磨きにより、虫歯や歯の変色・歯肉炎や歯周炎が発生することがあります。
※歯を動かし終わった後に、リテーナーの使用不足や歯ぎしりなどの癖の影響で、後戻りや新たな不正咬合が出現する場合があります。
※その他詳細は「よくある質問」にも記載がありますのでご参照ください。
※治療期間は症例により異なりますが、乳歯の残っているお子さんの治療の場合、第一期治療で12~24か月、経過観察期間後の第二期治療で12~24か月を要することがあります。
※表示されている<治療にかかった費用>は、契約を行った当時の治療費(税抜)です。現在の治療費の詳細については、「料金表」をご参照ください。
No.15V-518
- 主な症状:
- 上顎前突
- その他の症状:
- 叢生
- 年齢:
- 8歳
- 性別:
- 女性
- 主な使用装置:
- FEA
- 治療にかかった費用:
- 90万円
前歯が出ているのをきれいに揃えたいということで来院されました。歯列が狭く前歯の突出が強かったので上顎の急速拡大を行いました。しかし第二期を迎える際には前歯の突出や開咬が生じたため、小臼歯抜歯を併用したマルチブラケット法を行いました。二期の治療は3年強、40回の通院が必要でした。
上の前歯の移動量が大きく、歯根吸収のリスクが高めです。
- ≫治療前
-
上顎
下顎
前歯の関係など
右側
正面
左側
- ≫治療中 ステップ1
-
上顎
下顎
前歯の関係など
右側
正面
左側
- ≫治療後
-
口唇の形態がすっきりして大きく改善していますが、これはやはり小臼歯抜歯をしないと達成できません。
上顎
下顎
前歯の関係など
右側
正面
左側
※歯科矯正治療による歯の移動による主なリスク(副作用)としては、歯根吸収(歯の根の先が短くなること)や歯肉退縮(歯ぐきが下がること)があります。
※歯を移動する力により、痛みや違和感が出る場合があります。矯正装置の刺激で歯肉の炎症や口内炎が生じる場合があります。
※装置の装着により歯磨きがしにくくなる部位がありますので、不充分な歯磨きにより、虫歯や歯の変色・歯肉炎や歯周炎が発生することがあります。
※歯を動かし終わった後に、リテーナーの使用不足や歯ぎしりなどの癖の影響で、後戻りや新たな不正咬合が出現する場合があります。
※その他詳細は「よくある質問」にも記載がありますのでご参照ください。
※治療期間は症例により異なりますが、乳歯の残っているお子さんの治療の場合、第一期治療で12~24か月、経過観察期間後の第二期治療で12~24か月を要することがあります。
※表示されている<治療にかかった費用>は、契約を行った当時の治療費(税抜)です。現在の治療費の詳細については、「料金表」をご参照ください。
No.19V-037
- 主な症状:
- 開咬
- その他の症状:
- 上顎前突
- 年齢:
- 39歳
- 性別:
- 女性
- 抜歯部位
- 上:
- 44
- 下:
- 55
- 主な使用装置:
- FEA 022
- 治療にかかった費用:
- 15万+健康保険
顎が後退しているので前に出したい、ということで来院された、骨格性下顎後退の大変な難症例です。スプリント療法から顎変形症の治療を行い、6年近い年月と80回以上の通院が必要でした。
外科的矯正治療には、矯正治療単独で行った場合のリスクや副作用に加えて、外科手術のもつリスクがあります。
全身麻酔や入院の必要性、術後の疼痛や顔の腫れ、手術部位周囲の感覚麻痺などがそれにあたります。
- ≫治療前
-
上顎
下顎
前歯の関係など
右側
正面
左側
- ≫治療中 ステップ1
-
上顎
下顎
前歯の関係など
右側
正面
左側
- ≫治療後
-
上顎
下顎
前歯の関係など
右側
正面
左側
※歯科矯正治療による歯の移動による主なリスク(副作用)としては、歯根吸収(歯の根の先が短くなること)や歯肉退縮(歯ぐきが下がること)があります。
※歯を移動する力により、痛みや違和感が出る場合があります。矯正装置の刺激で歯肉の炎症や口内炎が生じる場合があります。
※装置の装着により歯磨きがしにくくなる部位がありますので、不充分な歯磨きにより、虫歯や歯の変色・歯肉炎や歯周炎が発生することがあります。
※歯を動かし終わった後に、リテーナーの使用不足や歯ぎしりなどの癖の影響で、後戻りや新たな不正咬合が出現する場合があります。
※その他詳細は「よくある質問」にも記載がありますのでご参照ください。
※治療期間は症例により異なりますが、乳歯の残っているお子さんの治療の場合、第一期治療で12~24か月、経過観察期間後の第二期治療で12~24か月を要することがあります。
※表示されている<治療にかかった費用>は、契約を行った当時の治療費(税抜)です。現在の治療費の詳細については、「料金表」をご参照ください。
No.22V-281
- 主な症状:
- 上顎前突
- その他の症状:
- 叢生
- 年齢:
- 19歳
- 性別:
- 女性
- 抜歯部位
- 上:
- 44
- 下:
- 8558
- 主な使用装置:
- FEA
- 治療にかかった費用:
- 93万円
歯並びが悪いのを治したい、ということで来院されました。下顎の後退が強く、厳しい上顎前突(出っ歯)の状態でしたが、歯科上下左右から小臼歯を抜歯して、マルチブラケット装置により治療を行いました。2年強、25回程度の通院をしていただきました。上の前歯の移動量が大きく、歯根吸収の発生リスクが高めのケースです。
- ≫治療前
-
上顎
下顎
前歯の関係など
右側
正面
左側
- ≫治療後
-
上顎
下顎
前歯の関係など
右側
正面
左側
※歯科矯正治療による歯の移動による主なリスク(副作用)としては、歯根吸収(歯の根の先が短くなること)や歯肉退縮(歯ぐきが下がること)があります。
※歯を移動する力により、痛みや違和感が出る場合があります。矯正装置の刺激で歯肉の炎症や口内炎が生じる場合があります。
※装置の装着により歯磨きがしにくくなる部位がありますので、不充分な歯磨きにより、虫歯や歯の変色・歯肉炎や歯周炎が発生することがあります。
※歯を動かし終わった後に、リテーナーの使用不足や歯ぎしりなどの癖の影響で、後戻りや新たな不正咬合が出現する場合があります。
※その他詳細は「よくある質問」にも記載がありますのでご参照ください。
※治療期間は症例により異なりますが、乳歯の残っているお子さんの治療の場合、第一期治療で12~24か月、経過観察期間後の第二期治療で12~24か月を要することがあります。
※表示されている<治療にかかった費用>は、契約を行った当時の治療費(税抜)です。現在の治療費の詳細については、「料金表」をご参照ください。











