2025年10月
No.20V-557
- 主な症状:
- 上顎前突
- その他の症状:
- 叢生
- 年齢:
- 24歳
- 性別:
- 女性
- 抜歯部位
- 上:
- 44
- 下:
- 55
- 主な使用装置:
- FEA
- 治療にかかった費用:
- 90万円
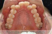
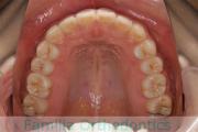
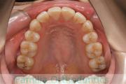
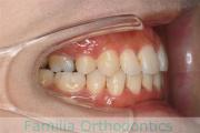
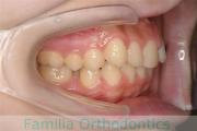
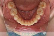
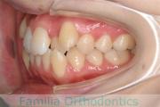
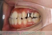
前歯を下げて口元をひっこめたいということで来院されました。かなり強い上顎前突(出っ歯)で、アンカースクリューとマルチブラケット法を用いて上下左右から小臼歯を抜歯して治療を行いました。3年半、40回程度の通院をしていただきました。
かみ合わせが深いため、前歯の圧下(歯ぐきに押し戻す動き)が必要なため、歯根吸収のリスクが高いケースでした。
- ≫治療前
-
上顎
下顎
前歯の関係など
右側
正面
左側
- ≫治療後
-
上顎
下顎
前歯の関係など
右側
正面
左側
※歯科矯正治療による歯の移動による主なリスク(副作用)としては、歯根吸収(歯の根の先が短くなること)や歯肉退縮(歯ぐきが下がること)があります。
※歯を移動する力により、痛みや違和感が出る場合があります。矯正装置の刺激で歯肉の炎症や口内炎が生じる場合があります。
※装置の装着により歯磨きがしにくくなる部位がありますので、不充分な歯磨きにより、虫歯や歯の変色・歯肉炎や歯周炎が発生することがあります。
※歯を動かし終わった後に、リテーナーの使用不足や歯ぎしりなどの癖の影響で、後戻りや新たな不正咬合が出現する場合があります。
※その他詳細は「よくある質問」にも記載がありますのでご参照ください。
※治療期間は症例により異なりますが、乳歯の残っているお子さんの治療の場合、第一期治療で12~24か月、経過観察期間後の第二期治療で12~24か月を要することがあります。
※表示されている<治療にかかった費用>は、契約を行った当時の治療費(税抜)です。現在の治療費の詳細については、「料金表」をご参照ください。
No.20V-496
- 主な症状:
- 叢生
- 年齢:
- 15歳
- 性別:
- 女性
- 抜歯部位
- 上:
- 84|58
- 下:
- 8558
- 主な使用装置:
- FEA
- 治療にかかった費用:
- 80万円
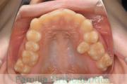
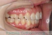
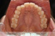
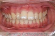
全体的なでこぼこを治したいということで来院されました。上顎は右は4,左と下顎両側は5番を抜歯して、マルチブラケット法にて治療を行いました。2年強、25回程度の通院をしていただきました。
非常に強いでこぼこですので、後戻りのリスクは高めであると思われます。
- ≫治療前
-
上顎
下顎
前歯の関係など
右側
正面
左側
- ≫治療後
-
上顎
下顎
前歯の関係など
右側
正面
左側
※歯科矯正治療による歯の移動による主なリスク(副作用)としては、歯根吸収(歯の根の先が短くなること)や歯肉退縮(歯ぐきが下がること)があります。
※歯を移動する力により、痛みや違和感が出る場合があります。矯正装置の刺激で歯肉の炎症や口内炎が生じる場合があります。
※装置の装着により歯磨きがしにくくなる部位がありますので、不充分な歯磨きにより、虫歯や歯の変色・歯肉炎や歯周炎が発生することがあります。
※歯を動かし終わった後に、リテーナーの使用不足や歯ぎしりなどの癖の影響で、後戻りや新たな不正咬合が出現する場合があります。
※その他詳細は「よくある質問」にも記載がありますのでご参照ください。
※治療期間は症例により異なりますが、乳歯の残っているお子さんの治療の場合、第一期治療で12~24か月、経過観察期間後の第二期治療で12~24か月を要することがあります。
※表示されている<治療にかかった費用>は、契約を行った当時の治療費(税抜)です。現在の治療費の詳細については、「料金表」をご参照ください。
No.17V-308
- 主な症状:
- 過蓋咬合
- その他の症状:
- 叢生
- 年齢:
- 8歳
- 性別:
- 女性
- 主な使用装置:
- FEA
- 治療にかかった費用:
- 90万円
出っ歯とかみ合わせを治したいとのことで小学生の時に来院されました。一期治療ではリップバンパーのみで経過を観察し、中学生の時に再診断をしました。やや叢生(でこぼこ、ガタガタ)がきつめでしたが、拡大・非抜歯・マルチブラケット法にて治療を行いました。二期治療は、2年半、30回の通院が必要でした。
非抜歯治療を行いましたので、後戻りのリスクが高めですので、保定観察が重要です。
- ≫治療前
-
上顎
下顎
前歯の関係など
右側
正面
左側
- ≫治療中 ステップ1
-
上顎
下顎
前歯の関係など
右側
正面
左側
- ≫治療後
-
上顎
下顎
前歯の関係など
右側
正面
左側
※歯科矯正治療による歯の移動による主なリスク(副作用)としては、歯根吸収(歯の根の先が短くなること)や歯肉退縮(歯ぐきが下がること)があります。
※歯を移動する力により、痛みや違和感が出る場合があります。矯正装置の刺激で歯肉の炎症や口内炎が生じる場合があります。
※装置の装着により歯磨きがしにくくなる部位がありますので、不充分な歯磨きにより、虫歯や歯の変色・歯肉炎や歯周炎が発生することがあります。
※歯を動かし終わった後に、リテーナーの使用不足や歯ぎしりなどの癖の影響で、後戻りや新たな不正咬合が出現する場合があります。
※その他詳細は「よくある質問」にも記載がありますのでご参照ください。
※治療期間は症例により異なりますが、乳歯の残っているお子さんの治療の場合、第一期治療で12~24か月、経過観察期間後の第二期治療で12~24か月を要することがあります。
※表示されている<治療にかかった費用>は、契約を行った当時の治療費(税抜)です。現在の治療費の詳細については、「料金表」をご参照ください。
No.22V-498
- 主な症状:
- 上顎前突
- その他の症状:
- 側方偏位
- 年齢:
- 26歳
- 性別:
- 女性
- 抜歯部位
- 上:
- 44
- 下:
- 8|58
- 主な使用装置:
- FEA
- 治療にかかった費用:
- 90万円
上の前歯が出ているのと下の前歯のでこぼこを治したいということで来院されました。左右のズレがあるので、上顎を左右から、下顎は左下のみ小臼歯を抜歯して、アンカースクリューを併用したマルチブラケット法にて治療を行いました。2年強、25回程度の通院が必要でした。
前歯の移動量が多いケースとなりますので、歯根吸収や歯肉退縮のリスクが高めです。
- ≫治療前
-
上顎
下顎
前歯の関係など
右側
正面
左側
- ≫治療後
-
上顎
下顎
前歯の関係など
右側
正面
左側
※歯科矯正治療による歯の移動による主なリスク(副作用)としては、歯根吸収(歯の根の先が短くなること)や歯肉退縮(歯ぐきが下がること)があります。
※歯を移動する力により、痛みや違和感が出る場合があります。矯正装置の刺激で歯肉の炎症や口内炎が生じる場合があります。
※装置の装着により歯磨きがしにくくなる部位がありますので、不充分な歯磨きにより、虫歯や歯の変色・歯肉炎や歯周炎が発生することがあります。
※歯を動かし終わった後に、リテーナーの使用不足や歯ぎしりなどの癖の影響で、後戻りや新たな不正咬合が出現する場合があります。
※その他詳細は「よくある質問」にも記載がありますのでご参照ください。
※治療期間は症例により異なりますが、乳歯の残っているお子さんの治療の場合、第一期治療で12~24か月、経過観察期間後の第二期治療で12~24か月を要することがあります。
※表示されている<治療にかかった費用>は、契約を行った当時の治療費(税抜)です。現在の治療費の詳細については、「料金表」をご参照ください。
No.21V-568
- 主な症状:
- 反対咬合
- その他の症状:
- 叢生
- 年齢:
- 24歳
- 性別:
- 女性
- 抜歯部位
- 上:
- 5|5pontic 7
- 下:
- 55
- 主な使用装置:
- FEA
- 治療にかかった費用:
- 88万円
歯並びを治したいと来院されました。右上の第二大臼歯、左上の第二小臼歯が無く、神経が取られている歯も4本もありました。そこで神経の無い左上第二大臼歯と第二小臼歯3本を抜歯して、受け口と叢生(でこぼこ、凹凸、ガタガタ)を治療しました。
治療期間は3年程度、35回程度の通院が必要でした。前歯が反対な状態は、将来の歯の保存にリスクがあります。また左上のブリッジ部は、歯が移動しにくいリスクがありました。
- ≫治療前
-
上顎
下顎
前歯の関係など
右側
正面
左側
- ≫治療後
-
上顎
下顎
前歯の関係など
右側
正面
左側
※歯科矯正治療による歯の移動による主なリスク(副作用)としては、歯根吸収(歯の根の先が短くなること)や歯肉退縮(歯ぐきが下がること)があります。
※歯を移動する力により、痛みや違和感が出る場合があります。矯正装置の刺激で歯肉の炎症や口内炎が生じる場合があります。
※装置の装着により歯磨きがしにくくなる部位がありますので、不充分な歯磨きにより、虫歯や歯の変色・歯肉炎や歯周炎が発生することがあります。
※歯を動かし終わった後に、リテーナーの使用不足や歯ぎしりなどの癖の影響で、後戻りや新たな不正咬合が出現する場合があります。
※その他詳細は「よくある質問」にも記載がありますのでご参照ください。
※治療期間は症例により異なりますが、乳歯の残っているお子さんの治療の場合、第一期治療で12~24か月、経過観察期間後の第二期治療で12~24か月を要することがあります。
※表示されている<治療にかかった費用>は、契約を行った当時の治療費(税抜)です。現在の治療費の詳細については、「料金表」をご参照ください。
No.21V-614
- 主な症状:
- 過蓋咬合
- その他の症状:
- 叢生
- 年齢:
- 15歳
- 性別:
- 女性
- 抜歯部位
- 上:
- 44
- 下:
- 8558
- 主な使用装置:
- FEA
- 治療にかかった費用:
- 90万円
左下の奥歯が内側に倒れているのを治したいということで来院されました。かみ合わせが深い、上顎前突(出っ歯)の患者さんでした。上下左右から小臼歯を抜歯して、大臼歯を起こしながら治療を行いました。約3年、35回程度の通院をしていただきました。
かみ合わせが深いため、治療を行わないと前歯の裏側の歯茎を咬んでしまうリスクがありました。
- ≫治療前
-
上顎
下顎
前歯の関係など
右側
正面
左側
- ≫治療後
-
上顎
下顎
前歯の関係など
右側
正面
左側
※歯科矯正治療による歯の移動による主なリスク(副作用)としては、歯根吸収(歯の根の先が短くなること)や歯肉退縮(歯ぐきが下がること)があります。
※歯を移動する力により、痛みや違和感が出る場合があります。矯正装置の刺激で歯肉の炎症や口内炎が生じる場合があります。
※装置の装着により歯磨きがしにくくなる部位がありますので、不充分な歯磨きにより、虫歯や歯の変色・歯肉炎や歯周炎が発生することがあります。
※歯を動かし終わった後に、リテーナーの使用不足や歯ぎしりなどの癖の影響で、後戻りや新たな不正咬合が出現する場合があります。
※その他詳細は「よくある質問」にも記載がありますのでご参照ください。
※治療期間は症例により異なりますが、乳歯の残っているお子さんの治療の場合、第一期治療で12~24か月、経過観察期間後の第二期治療で12~24か月を要することがあります。
※表示されている<治療にかかった費用>は、契約を行った当時の治療費(税抜)です。現在の治療費の詳細については、「料金表」をご参照ください。
No.20V-177
- 主な症状:
- 上顎前突
- 年齢:
- 24歳
- 性別:
- 女性
- 抜歯部位
- 上:
- 8448
- 下:
- 86|48
- 主な使用装置:
- FEA 022
- 治療にかかった費用:
- 92万円
出っ歯を治したいということで来院されました。上顎左右と左下は小臼歯、右下は根の病気があったため第一大臼歯を小臼歯に代えて抜歯して、親知らずを代用しました。そのため4年強、50回以上の通院が必要でした。
前歯の移動量が多い治療になりますので、歯根吸収のリスクが高いケースとなります。
- ≫治療前
-
上顎
下顎
前歯の関係など
右側
正面
左側
- ≫治療後
-
上顎
下顎
前歯の関係など
右側
正面
左側
※歯科矯正治療による歯の移動による主なリスク(副作用)としては、歯根吸収(歯の根の先が短くなること)や歯肉退縮(歯ぐきが下がること)があります。
※歯を移動する力により、痛みや違和感が出る場合があります。矯正装置の刺激で歯肉の炎症や口内炎が生じる場合があります。
※装置の装着により歯磨きがしにくくなる部位がありますので、不充分な歯磨きにより、虫歯や歯の変色・歯肉炎や歯周炎が発生することがあります。
※歯を動かし終わった後に、リテーナーの使用不足や歯ぎしりなどの癖の影響で、後戻りや新たな不正咬合が出現する場合があります。
※その他詳細は「よくある質問」にも記載がありますのでご参照ください。
※治療期間は症例により異なりますが、乳歯の残っているお子さんの治療の場合、第一期治療で12~24か月、経過観察期間後の第二期治療で12~24か月を要することがあります。
※表示されている<治療にかかった費用>は、契約を行った当時の治療費(税抜)です。現在の治療費の詳細については、「料金表」をご参照ください。
No.21V-281
- 主な症状:
- 上顎前突
- その他の症状:
- 埋伏歯
- 年齢:
- 12歳
- 性別:
- 女性
- 主な使用装置:
- FEA
- 治療にかかった費用:
- 90万円
歯並びが気になるとのことで来院されました。一期治療で埋まっていた左上犬歯を引っ張りだしておきました。二期治療は小臼歯を非抜歯でマルチブラケット法にて治療を行いました。二期は1年半、20回程度の通院をしていただきました。
犬歯の牽引は、引っ張るときの歯茎の痛みが生じることがあったり、引っ張り出せても歯肉退縮が強く出たりするリスクのある治療です。
- ≫治療前
-
上顎
下顎
前歯の関係など
右側
正面
左側
- ≫治療後
-
上顎
下顎
前歯の関係など
右側
正面
左側
※歯科矯正治療による歯の移動による主なリスク(副作用)としては、歯根吸収(歯の根の先が短くなること)や歯肉退縮(歯ぐきが下がること)があります。
※歯を移動する力により、痛みや違和感が出る場合があります。矯正装置の刺激で歯肉の炎症や口内炎が生じる場合があります。
※装置の装着により歯磨きがしにくくなる部位がありますので、不充分な歯磨きにより、虫歯や歯の変色・歯肉炎や歯周炎が発生することがあります。
※歯を動かし終わった後に、リテーナーの使用不足や歯ぎしりなどの癖の影響で、後戻りや新たな不正咬合が出現する場合があります。
※その他詳細は「よくある質問」にも記載がありますのでご参照ください。
※治療期間は症例により異なりますが、乳歯の残っているお子さんの治療の場合、第一期治療で12~24か月、経過観察期間後の第二期治療で12~24か月を要することがあります。
※表示されている<治療にかかった費用>は、契約を行った当時の治療費(税抜)です。現在の治療費の詳細については、「料金表」をご参照ください。
No.22V-562
- 主な症状:
- 叢生
- 年齢:
- 28歳
- 性別:
- 女性
- 抜歯部位
- 上:
- 448
- 下:
- 44
- 主な使用装置:
- FEA 022
- 治療にかかった費用:
- 88万円
前歯のでこぼこを治したいということで来院されました。非常に強い叢生(でこぼこ、凹凸、ガタガタ)でしたので、上下左右から小臼歯を抜歯して、マルチブラケット法にて治療を行いました。2年強、25回程度の通院をしていただきました。
上下とも叢生(でこぼこ、凹凸、ガタガタ)が強いため、後戻りのリスクが高くなると考えられます。
- ≫治療前
-
上顎
下顎
前歯の関係など
右側
正面
左側
- ≫治療後
-
上顎
下顎
前歯の関係など
右側
正面
左側
※歯科矯正治療による歯の移動による主なリスク(副作用)としては、歯根吸収(歯の根の先が短くなること)や歯肉退縮(歯ぐきが下がること)があります。
※歯を移動する力により、痛みや違和感が出る場合があります。矯正装置の刺激で歯肉の炎症や口内炎が生じる場合があります。
※装置の装着により歯磨きがしにくくなる部位がありますので、不充分な歯磨きにより、虫歯や歯の変色・歯肉炎や歯周炎が発生することがあります。
※歯を動かし終わった後に、リテーナーの使用不足や歯ぎしりなどの癖の影響で、後戻りや新たな不正咬合が出現する場合があります。
※その他詳細は「よくある質問」にも記載がありますのでご参照ください。
※治療期間は症例により異なりますが、乳歯の残っているお子さんの治療の場合、第一期治療で12~24か月、経過観察期間後の第二期治療で12~24か月を要することがあります。
※表示されている<治療にかかった費用>は、契約を行った当時の治療費(税抜)です。現在の治療費の詳細については、「料金表」をご参照ください。
No.21V-099
- 主な症状:
- 上下顎前突
- その他の症状:
- 叢生
- 年齢:
- 35歳
- 性別:
- 女性
- 抜歯部位
- 上:
- 44
- 下:
- 44
- 主な使用装置:
- FEA 022
- 治療にかかった費用:
- 90万円
下の前歯のでこぼこと出っ歯を治したいと来院されました。上下左右から小臼歯を抜歯して、歯科矯正用アンカースクリューを併用してマルチブラケット法にて治療を行いました。約3年、35回程度の通院をしていただきました。
叢生(でこぼこ、凹凸、ガタガタ)が強く、リテーナーの使用が不充分だったりすると、後戻りのリスクが高いと考えられます。
- ≫治療前
-
上顎
下顎
前歯の関係など
右側
正面
左側
- ≫治療後
-
上顎
下顎
前歯の関係など
右側
正面
左側
※歯科矯正治療による歯の移動による主なリスク(副作用)としては、歯根吸収(歯の根の先が短くなること)や歯肉退縮(歯ぐきが下がること)があります。
※歯を移動する力により、痛みや違和感が出る場合があります。矯正装置の刺激で歯肉の炎症や口内炎が生じる場合があります。
※装置の装着により歯磨きがしにくくなる部位がありますので、不充分な歯磨きにより、虫歯や歯の変色・歯肉炎や歯周炎が発生することがあります。
※歯を動かし終わった後に、リテーナーの使用不足や歯ぎしりなどの癖の影響で、後戻りや新たな不正咬合が出現する場合があります。
※その他詳細は「よくある質問」にも記載がありますのでご参照ください。
※治療期間は症例により異なりますが、乳歯の残っているお子さんの治療の場合、第一期治療で12~24か月、経過観察期間後の第二期治療で12~24か月を要することがあります。
※表示されている<治療にかかった費用>は、契約を行った当時の治療費(税抜)です。現在の治療費の詳細については、「料金表」をご参照ください。











