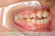
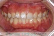
2025年9月
No.22V-357
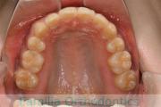
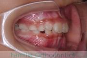
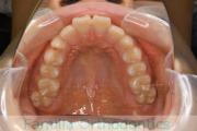
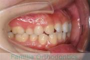
- 主な症状:
- 上顎前突
- その他の症状:
- 側方偏位
- 年齢:
- 23歳
- 性別:
- 女性
- 抜歯部位
- 上:
- 8448
- 下:
- 8448
- 主な使用装置:
- FEA 022
- 治療にかかった費用:
- 90万円
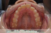
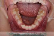
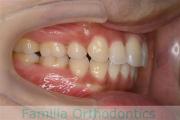
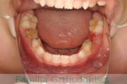
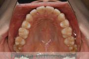
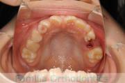
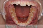
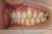
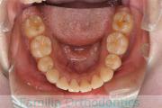
横顔が気になるとのことで来院されました。叢生(でこぼこ、凹凸、ガタガタ)を伴う上下顎前突(口元が出ていること)を呈しているため、上下左右から小臼歯を抜歯して歯科矯正用アンカースクリューとマルチブラケットにより2年弱の治療を行いました。
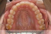
- ≫治療前
-
上顎
下顎
前歯の関係など
右側
正面
左側
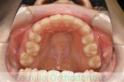
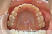
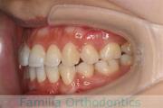
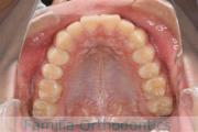
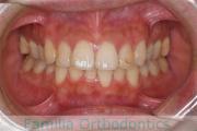
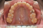
- ≫治療後
-
こちらの患者さんのような症例は、非抜歯で無理に治療をすると、歯並びはきれいに並んではいるけれど審美性は逆に悪化したり、口唇閉鎖不全が生じたり、かえって悪くなるリスクがあります。
上顎
下顎
前歯の関係など
右側
正面
左側
※歯科矯正治療による歯の移動による主なリスク(副作用)としては、歯根吸収(歯の根の先が短くなること)や歯肉退縮(歯ぐきが下がること)があります。
※歯を移動する力により、痛みや違和感が出る場合があります。矯正装置の刺激で歯肉の炎症や口内炎が生じる場合があります。
※装置の装着により歯磨きがしにくくなる部位がありますので、不充分な歯磨きにより、虫歯や歯の変色・歯肉炎や歯周炎が発生することがあります。
※歯を動かし終わった後に、リテーナーの使用不足や歯ぎしりなどの癖の影響で、後戻りや新たな不正咬合が出現する場合があります。
※その他詳細は「よくある質問」にも記載がありますのでご参照ください。
※治療期間は症例により異なりますが、乳歯の残っているお子さんの治療の場合、第一期治療で12~24か月、経過観察期間後の第二期治療で12~24か月を要することがあります。
※表示されている<治療にかかった費用>は、契約を行った当時の治療費(税抜)です。現在の治療費の詳細については、「料金表」をご参照ください。
No.16V-139
- 主な症状:
- 叢生
- 年齢:
- 16歳
- 性別:
- 男性
- 抜歯部位
- 上:
- 44
- 下:
- 8448
- 主な使用装置:
- FEA 022
- 治療にかかった費用:
- 88万円
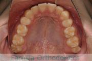
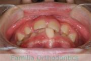
下の前歯が後ろにあるのが気になるとのことで来院されました。非抜歯で行うことも可能でしたが、上下左右から小臼歯抜歯をして治療を行うことをご希望になりました。
マルチブラケット法にて治療を行い、約3年、40回の通院が要でした。
かみ合わせが深い(上の前歯で下の前歯が覆われてしまう)ので、保定をしっかりしないと、また深くなってきてしまいやすいです。
- ≫治療前
-
上顎
下顎
前歯の関係など
右側
正面
左側
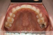
- ≫治療後
-
上顎
下顎
前歯の関係など
右側
正面
左側
※歯科矯正治療による歯の移動による主なリスク(副作用)としては、歯根吸収(歯の根の先が短くなること)や歯肉退縮(歯ぐきが下がること)があります。
※歯を移動する力により、痛みや違和感が出る場合があります。矯正装置の刺激で歯肉の炎症や口内炎が生じる場合があります。
※装置の装着により歯磨きがしにくくなる部位がありますので、不充分な歯磨きにより、虫歯や歯の変色・歯肉炎や歯周炎が発生することがあります。
※歯を動かし終わった後に、リテーナーの使用不足や歯ぎしりなどの癖の影響で、後戻りや新たな不正咬合が出現する場合があります。
※その他詳細は「よくある質問」にも記載がありますのでご参照ください。
※治療期間は症例により異なりますが、乳歯の残っているお子さんの治療の場合、第一期治療で12~24か月、経過観察期間後の第二期治療で12~24か月を要することがあります。
※表示されている<治療にかかった費用>は、契約を行った当時の治療費(税抜)です。現在の治療費の詳細については、「料金表」をご参照ください。
No.22V-299
- 主な症状:
- 上顎前突
- その他の症状:
- 叢生
- 年齢:
- 30歳
- 性別:
- 女性
- 抜歯部位
- 上:
- 44
- 下:
- 44
- 主な使用装置:
- FEA 022
- 治療にかかった費用:
- 90万円
上の出っ歯、口が閉じにくい、下の前歯のガタガタを治したいということで来院されました。上顎から左右小臼歯を、下の前歯は凹凸が非常に強いので、こちらから一本抜歯を行いました。2年強、30回程度の通院が必要でした。
成人になってからの叢生(でこぼこ、凹凸、ガタガタ)は、保定をしっかりしないと後戻りをしてしまうリスクが高いです。
- ≫治療前
-
上顎
下顎
前歯の関係など
右側
正面
左側
- ≫治療後
-
上顎
下顎
前歯の関係など
右側
正面
左側
※歯科矯正治療による歯の移動による主なリスク(副作用)としては、歯根吸収(歯の根の先が短くなること)や歯肉退縮(歯ぐきが下がること)があります。
※歯を移動する力により、痛みや違和感が出る場合があります。矯正装置の刺激で歯肉の炎症や口内炎が生じる場合があります。
※装置の装着により歯磨きがしにくくなる部位がありますので、不充分な歯磨きにより、虫歯や歯の変色・歯肉炎や歯周炎が発生することがあります。
※歯を動かし終わった後に、リテーナーの使用不足や歯ぎしりなどの癖の影響で、後戻りや新たな不正咬合が出現する場合があります。
※その他詳細は「よくある質問」にも記載がありますのでご参照ください。
※治療期間は症例により異なりますが、乳歯の残っているお子さんの治療の場合、第一期治療で12~24か月、経過観察期間後の第二期治療で12~24か月を要することがあります。
※表示されている<治療にかかった費用>は、契約を行った当時の治療費(税抜)です。現在の治療費の詳細については、「料金表」をご参照ください。
No.11V-149
- 主な症状:
- 開咬
- その他の症状:
- 反対咬合
- 年齢:
- 8歳
- 性別:
- 女性
- 主な使用装置:
- FEA 022
- 治療にかかった費用:
- 保険
かなり強い骨格性の下顎前突(受け口)・開咬(前歯が咬み合わない)でした。
- ≫治療前
-
上顎
下顎
前歯の関係など
右側
正面
左側
- ≫治療中 ステップ1
-
一期治療では八重歯の治療まですることができませんでしたが、下アゴがどこまで大きくなるか見極めてからの第二期治療が必要なため、いったん動かすのを終了して成長観察をしました。
成長終了後は、重度の骨格不正のある顎変形症となり、外科矯正が必要となりました。
上顎
下顎
前歯の関係など
右側
正面
左側
- ≫治療後
-
顎変形症の治療だけで、約3年半、40回以上の通院が必要でした。
開咬は、舌の癖が残っていると再発のリスクが高く、注意が必要です。外科的矯正治療には、矯正治療単独で行った場合のリスクや副作用に加えて、外科手術のもつリスクがあります。
全身麻酔や入院の必要性、術後の疼痛や顔の腫れ、手術部位周囲の感覚麻痺などがそれにあたります。
上顎
下顎
前歯の関係など
右側
正面
左側
※歯科矯正治療による歯の移動による主なリスク(副作用)としては、歯根吸収(歯の根の先が短くなること)や歯肉退縮(歯ぐきが下がること)があります。
※歯を移動する力により、痛みや違和感が出る場合があります。矯正装置の刺激で歯肉の炎症や口内炎が生じる場合があります。
※装置の装着により歯磨きがしにくくなる部位がありますので、不充分な歯磨きにより、虫歯や歯の変色・歯肉炎や歯周炎が発生することがあります。
※歯を動かし終わった後に、リテーナーの使用不足や歯ぎしりなどの癖の影響で、後戻りや新たな不正咬合が出現する場合があります。
※その他詳細は「よくある質問」にも記載がありますのでご参照ください。
※治療期間は症例により異なりますが、乳歯の残っているお子さんの治療の場合、第一期治療で12~24か月、経過観察期間後の第二期治療で12~24か月を要することがあります。
※表示されている<治療にかかった費用>は、契約を行った当時の治療費(税抜)です。現在の治療費の詳細については、「料金表」をご参照ください。
No.13V-358
- 主な症状:
- 過蓋咬合
- その他の症状:
- 叢生
- 年齢:
- 9歳
- 性別:
- 男性
- 主な使用装置:
- FEA
- 治療にかかった費用:
- 90万円
歯がきちんと並ぶようにしてほしいとのことで小学生の時に来院されました。第一期治療で拡大を行いましたが、二期治療では第二大臼歯の生え変わりがうまくいかなかったので、小臼歯を抜歯して治療を行いました。マルチブラケット療法を3年弱、30回強の通院にて行いました。
- ≫治療前
-
上顎
下顎
前歯の関係など
右側
正面
左側
- ≫治療中 ステップ1
-
上顎
下顎
前歯の関係など
右側
正面
左側
- ≫治療後
-
一期・二期治療は、適切な時期に適切な移動をすることができるというメリットのある半面、トータルの通院期間が長くなってしまうというデメリットがあります。
上顎
下顎
前歯の関係など
右側
正面
左側
※歯科矯正治療による歯の移動による主なリスク(副作用)としては、歯根吸収(歯の根の先が短くなること)や歯肉退縮(歯ぐきが下がること)があります。
※歯を移動する力により、痛みや違和感が出る場合があります。矯正装置の刺激で歯肉の炎症や口内炎が生じる場合があります。
※装置の装着により歯磨きがしにくくなる部位がありますので、不充分な歯磨きにより、虫歯や歯の変色・歯肉炎や歯周炎が発生することがあります。
※歯を動かし終わった後に、リテーナーの使用不足や歯ぎしりなどの癖の影響で、後戻りや新たな不正咬合が出現する場合があります。
※その他詳細は「よくある質問」にも記載がありますのでご参照ください。
※治療期間は症例により異なりますが、乳歯の残っているお子さんの治療の場合、第一期治療で12~24か月、経過観察期間後の第二期治療で12~24か月を要することがあります。
※表示されている<治療にかかった費用>は、契約を行った当時の治療費(税抜)です。現在の治療費の詳細については、「料金表」をご参照ください。
No.22V-123
- 主な症状:
- 上顎前突
- その他の症状:
- 交叉咬合
- 年齢:
- 29歳
- 性別:
- 女性
- 抜歯部位
- 上:
- 44
- 下:
- 55
- 主な使用装置:
- FEA
- 治療にかかった費用:
- 90万円
奥歯が内側に倒れているのと前歯のねじれを治したい、とのことで来院されました。叢生(でこぼこ、凹凸、ガタガタ)に加え、左の第二大臼歯の鋏状咬合(すれ違い)がありました。上下左右から小臼歯を抜歯し、歯科矯正用アンカースクリューにより上顎大臼歯の位置を保持しながら移動を行いました。
約3年、35回程度の通院をしていただきました。
奥歯のすれ違いは、年齢と共に悪化していくリスクがありますので、できるだけ若年のうちに対処をすべき状態です。
- ≫治療前
-
上顎
下顎
前歯の関係など
右側
正面
左側
- ≫治療後
-
上顎
下顎
前歯の関係など
右側
正面
左側
※歯科矯正治療による歯の移動による主なリスク(副作用)としては、歯根吸収(歯の根の先が短くなること)や歯肉退縮(歯ぐきが下がること)があります。
※歯を移動する力により、痛みや違和感が出る場合があります。矯正装置の刺激で歯肉の炎症や口内炎が生じる場合があります。
※装置の装着により歯磨きがしにくくなる部位がありますので、不充分な歯磨きにより、虫歯や歯の変色・歯肉炎や歯周炎が発生することがあります。
※歯を動かし終わった後に、リテーナーの使用不足や歯ぎしりなどの癖の影響で、後戻りや新たな不正咬合が出現する場合があります。
※その他詳細は「よくある質問」にも記載がありますのでご参照ください。
※治療期間は症例により異なりますが、乳歯の残っているお子さんの治療の場合、第一期治療で12~24か月、経過観察期間後の第二期治療で12~24か月を要することがあります。
※表示されている<治療にかかった費用>は、契約を行った当時の治療費(税抜)です。現在の治療費の詳細については、「料金表」をご参照ください。
No.21V-348
- 主な症状:
- 開咬
- その他の症状:
- 叢生
- 年齢:
- 23歳
- 性別:
- 女性
- 抜歯部位
- 上:
- 88
- 下:
- 88
- 主な使用装置:
- FEA 022
- 治療にかかった費用:
- 92万円
かみ合わせを治したいということで来院されました。下の歯並びが前に大きくずれていて、開咬(前歯が咬み合わない)も呈している、非常に難しいケースでした。
- ≫治療前
-
下の親知らずを抜歯してから、その部位にアンカースクリューを埋入して、下の歯並びを後ろに引っぱりながら、さらに小臼歯も抜歯しました。
上顎
下顎
前歯の関係など
右側
正面
左側
- ≫治療後
-
3年半、40回の通院が必要でしたが、とてもよくなりました。
ただ開咬も叢生を後戻りのリスクが高いため、今後の保定観察と舌の癖の訓練がとても大切です。
上顎
下顎
前歯の関係など
右側
正面
左側
※歯科矯正治療による歯の移動による主なリスク(副作用)としては、歯根吸収(歯の根の先が短くなること)や歯肉退縮(歯ぐきが下がること)があります。
※歯を移動する力により、痛みや違和感が出る場合があります。矯正装置の刺激で歯肉の炎症や口内炎が生じる場合があります。
※装置の装着により歯磨きがしにくくなる部位がありますので、不充分な歯磨きにより、虫歯や歯の変色・歯肉炎や歯周炎が発生することがあります。
※歯を動かし終わった後に、リテーナーの使用不足や歯ぎしりなどの癖の影響で、後戻りや新たな不正咬合が出現する場合があります。
※その他詳細は「よくある質問」にも記載がありますのでご参照ください。
※治療期間は症例により異なりますが、乳歯の残っているお子さんの治療の場合、第一期治療で12~24か月、経過観察期間後の第二期治療で12~24か月を要することがあります。
※表示されている<治療にかかった費用>は、契約を行った当時の治療費(税抜)です。現在の治療費の詳細については、「料金表」をご参照ください。
No.14V-331
- 主な症状:
- 上顎前突
- その他の症状:
- 叢生
- 年齢:
- 9歳
- 性別:
- 女性
- 主な使用装置:
- FEA
- 治療にかかった費用:
- 90万円
下の前歯のガタガタを治したいということで小学生の時に来院されました。強い上顎前突(出っ歯)だったので、一期治療でできるだけ改善を図りましたが、第二期治療では小臼歯の抜歯が必要になりました。2期治療は約3年半、40回弱の治療が必要でした。
- ≫治療前
-
上顎
下顎
前歯の関係など
右側
正面
左側
- ≫治療中 ステップ1
-
上顎
下顎
前歯の関係など
右側
正面
左側
- ≫治療後
-
出っ歯の再発のリスクは、唇や舌の筋肉の悪い癖が残存すると高まります。
上顎
下顎
前歯の関係など
右側
正面
左側
※歯科矯正治療による歯の移動による主なリスク(副作用)としては、歯根吸収(歯の根の先が短くなること)や歯肉退縮(歯ぐきが下がること)があります。
※歯を移動する力により、痛みや違和感が出る場合があります。矯正装置の刺激で歯肉の炎症や口内炎が生じる場合があります。
※装置の装着により歯磨きがしにくくなる部位がありますので、不充分な歯磨きにより、虫歯や歯の変色・歯肉炎や歯周炎が発生することがあります。
※歯を動かし終わった後に、リテーナーの使用不足や歯ぎしりなどの癖の影響で、後戻りや新たな不正咬合が出現する場合があります。
※その他詳細は「よくある質問」にも記載がありますのでご参照ください。
※治療期間は症例により異なりますが、乳歯の残っているお子さんの治療の場合、第一期治療で12~24か月、経過観察期間後の第二期治療で12~24か月を要することがあります。
※表示されている<治療にかかった費用>は、契約を行った当時の治療費(税抜)です。現在の治療費の詳細については、「料金表」をご参照ください。
No.22V-456
- 主な症状:
- 叢生
- その他の症状:
- 上顎前突
- 年齢:
- 29歳
- 性別:
- 女性
- 抜歯部位
- 上:
- 8448欠
- 下:
- 8448欠
- 主な使用装置:
- FEA 022
- 治療にかかった費用:
- 90万円
後戻りを治したいということで来院されました。中学生の時に、かかりつけの歯科医院に、パートタイムで来ている歯科医に矯正治療をしてもらったとのことで、第一小臼歯が上下左右から抜歯されていました。
矯正治療は追加の治療ややり直しの方が大変です。歯科矯正用アンカースクリューを併用してマルチブラケット法にて治療を行いました。
治療期間は2年強、25回程度の通院が必要でした。
でこぼこの後戻りのリスクは高いと思われます。
- ≫治療前
-
上顎
下顎
前歯の関係など
右側
正面
左側
- ≫治療中 ステップ1
-
上顎
下顎
前歯の関係など
右側
正面
左側
- ≫治療後
-
上顎
下顎
前歯の関係など
右側
正面
左側
※歯科矯正治療による歯の移動による主なリスク(副作用)としては、歯根吸収(歯の根の先が短くなること)や歯肉退縮(歯ぐきが下がること)があります。
※歯を移動する力により、痛みや違和感が出る場合があります。矯正装置の刺激で歯肉の炎症や口内炎が生じる場合があります。
※装置の装着により歯磨きがしにくくなる部位がありますので、不充分な歯磨きにより、虫歯や歯の変色・歯肉炎や歯周炎が発生することがあります。
※歯を動かし終わった後に、リテーナーの使用不足や歯ぎしりなどの癖の影響で、後戻りや新たな不正咬合が出現する場合があります。
※その他詳細は「よくある質問」にも記載がありますのでご参照ください。
※治療期間は症例により異なりますが、乳歯の残っているお子さんの治療の場合、第一期治療で12~24か月、経過観察期間後の第二期治療で12~24か月を要することがあります。
※表示されている<治療にかかった費用>は、契約を行った当時の治療費(税抜)です。現在の治療費の詳細については、「料金表」をご参照ください。
No.19V-681
- 主な症状:
- 叢生
- 年齢:
- 12歳
- 性別:
- 男性
- 抜歯部位
- 上:
- 844
- 下:
- 8448
- 主な使用装置:
- FEA
- 治療にかかった費用:
- 45万円
歯並びを治したいということで来院されました。非常に強い叢生(でこぼこ、凹凸、ガタガタ)で、上の前歯は前後に二枚歯になっていました。
一期治療で上下とも歯列の拡大をして、再診断後、上下左右から小臼歯を抜歯してマルチブラケット治療を行いました。
一期から通算ですと4.5年、60回以上の通院が必要な大変な症例でしたが、何とか満足のいく治療結果なりました。
ここまで叢生が強い場合、でこぼこの再発リスクは非常に高いと思われます。
- ≫治療前
-
上顎
下顎
前歯の関係など
右側
正面
左側
- ≫治療中 ステップ1
-
上顎
下顎
前歯の関係など
右側
正面
左側
- ≫治療後
-
上顎
下顎
前歯の関係など
右側
正面
左側
※歯科矯正治療による歯の移動による主なリスク(副作用)としては、歯根吸収(歯の根の先が短くなること)や歯肉退縮(歯ぐきが下がること)があります。
※歯を移動する力により、痛みや違和感が出る場合があります。矯正装置の刺激で歯肉の炎症や口内炎が生じる場合があります。
※装置の装着により歯磨きがしにくくなる部位がありますので、不充分な歯磨きにより、虫歯や歯の変色・歯肉炎や歯周炎が発生することがあります。
※歯を動かし終わった後に、リテーナーの使用不足や歯ぎしりなどの癖の影響で、後戻りや新たな不正咬合が出現する場合があります。
※その他詳細は「よくある質問」にも記載がありますのでご参照ください。
※治療期間は症例により異なりますが、乳歯の残っているお子さんの治療の場合、第一期治療で12~24か月、経過観察期間後の第二期治療で12~24か月を要することがあります。
※表示されている<治療にかかった費用>は、契約を行った当時の治療費(税抜)です。現在の治療費の詳細については、「料金表」をご参照ください。
No.23V-208
- 主な症状:
- 上顎前突
- その他の症状:
- 欠損歯
- 年齢:
- 29歳
- 性別:
- 女性
- 抜歯部位
- 上:
- |2欠
- 下:
- |8
- 主な使用装置:
- Invisalign
- 治療にかかった費用:
- 95万円
かみ合わせ、下の歯のガタガタ、アゴの左ずれを治したいということで来院されました。マウスピース型矯正装置のひとつ、インビザライン/InvisalignR(薬機法および医薬品副作用被害救済制度の対象外)により治療を行いました。1年半、15回程度の通院が必要でした。
下の前歯は叢生が再発しやすい部分ですので、非抜歯の場合はよりリスクが上がります。
- ≫治療前
-
上顎
下顎
前歯の関係など
右側
正面
左側
- ≫治療後
-
マウスピース型矯正装置のひとつ、インビザライン/Invisalign®(薬機法および医薬品副作用被害救済制度の対象外)
※注意※ インビザライン Invisalign®は、国外のアライン社工場で製造されたマウスピースを輸入する形式となるため、国内では未承認器材扱いです。このため、薬機法対象外の矯正歯科装置であり、医薬品副作用被害救済制度の対象外となる場合があります。ただしすでに我が国を含む海外の多数の国で矯正治療に用いられております。当院では、症例を選んで選択させていただいておりますので、インビザライン使用のご希望に添えない場合もございます。
上顎
下顎
前歯の関係など
右側
正面
左側
※歯科矯正治療による歯の移動による主なリスク(副作用)としては、歯根吸収(歯の根の先が短くなること)や歯肉退縮(歯ぐきが下がること)があります。
※歯を移動する力により、痛みや違和感が出る場合があります。矯正装置の刺激で歯肉の炎症や口内炎が生じる場合があります。
※装置の装着により歯磨きがしにくくなる部位がありますので、不充分な歯磨きにより、虫歯や歯の変色・歯肉炎や歯周炎が発生することがあります。
※歯を動かし終わった後に、リテーナーの使用不足や歯ぎしりなどの癖の影響で、後戻りや新たな不正咬合が出現する場合があります。
※その他詳細は「よくある質問」にも記載がありますのでご参照ください。
※治療期間は症例により異なりますが、乳歯の残っているお子さんの治療の場合、第一期治療で12~24か月、経過観察期間後の第二期治療で12~24か月を要することがあります。
※表示されている<治療にかかった費用>は、契約を行った当時の治療費(税抜)です。現在の治療費の詳細については、「料金表」をご参照ください。











