今月の治療終了症例一覧
こちらに表示される症例は、すべて当院で治療を完了し、サイト掲載の許可をいただいた患者さんのものです。
画像の傾きの修正、顔写真の口元部分の切り抜きを除いて、一切の修正を加えておりません。
ただし、治療結果はすべて各患者さんに固有のものであり、他の患者さんの治療結果を保証するものではありません。
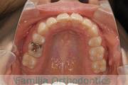
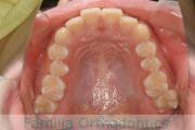
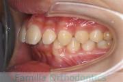
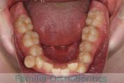
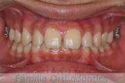
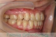
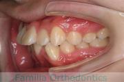
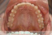
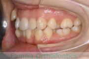
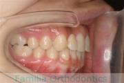
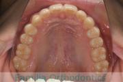
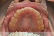
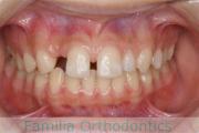
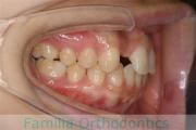
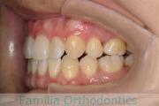
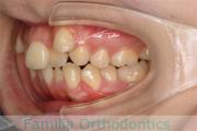
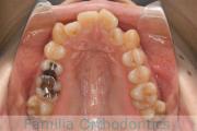
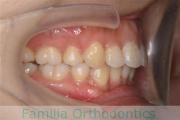
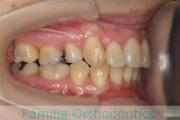
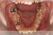
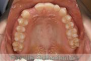
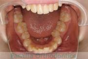
No.23V-385
- 主な症状:
- 叢生
- 年齢:
- 17歳
- 性別:
- 女性
- 抜歯部位
- 上:
- 44
- 下:
- 8448
- 主な使用装置:
- FEA 022
- 治療にかかった費用:
- 90万円
前歯のゆがみ、ズレがあるのを治したいということで来院されました。上下左右から小臼歯を抜歯して、マルチブラケット法にて治療をしました。1年8か月、20回程度の通院をしていただきました。叢生(でこぼこ、凹凸、ガタガタ)が強いため、保定をしっかりしないと後戻りのリスクがやや高いケースといえます。
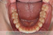
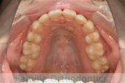
- ≫治療前
-
上顎
下顎
前歯の関係など
右側
正面
左側
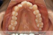
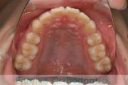
- ≫治療後
-
上顎
下顎
前歯の関係など
右側
正面
左側
※歯科矯正治療による歯の移動による主なリスク(副作用)としては、歯根吸収(歯の根の先が短くなること)や歯肉退縮(歯ぐきが下がること)があります。
※歯を移動する力により、痛みや違和感が出る場合があります。矯正装置の刺激で歯肉の炎症や口内炎が生じる場合があります。
※装置の装着により歯磨きがしにくくなる部位がありますので、不充分な歯磨きにより、虫歯や歯の変色・歯肉炎や歯周炎が発生することがあります。
※歯を動かし終わった後に、リテーナーの使用不足や歯ぎしりなどの癖の影響で、後戻りや新たな不正咬合が出現する場合があります。
※その他詳細は「よくある質問」にも記載がありますのでご参照ください。
※治療期間は症例により異なりますが、乳歯の残っているお子さんの治療の場合、第一期治療で12~24か月、経過観察期間後の第二期治療で12~24か月を要することがあります。
※表示されている<治療にかかった費用>は、契約を行った当時の治療費(税抜)です。現在の治療費の詳細については、「料金表」をご参照ください。
No.23V-308
- 主な症状:
- 欠損歯
- その他の症状:
- 空隙歯列
- 年齢:
- 17歳
- 性別:
- 女性
- 抜歯部位
- 上:
- 22欠
- 主な使用装置:
- Invisalign
- 治療にかかった費用:
- 88万円
永久歯がない為、隙間を埋めたいとのことで来院されました。検査診断を行ったところ、上の側切歯が左右とも欠損しているものの、矯正で歯を動かして隙間をすめて埋めるのは無理があるという判断になり、左上の乳歯は保存したまま、スペースは全て右上に集めました。マウスピース型矯正装置のひとつ、インビザライン/Invisalign®(薬機法および医薬品副作用被害救済制度の対象外)を使用しています。
歯の移動後に、右上にインプラントを埋め込む予定ですが、まだ若年のため、人工歯を接着剤とワイヤーで固定しています。
- ≫治療前
-
上顎
下顎
前歯の関係など
右側
正面
左側
- ≫治療中 ステップ1
-
上顎
下顎
前歯の関係など
右側
正面
左側
- ≫治療後
-
※注意※ インビザライン Invisalign®は、国外のアライン社工場で製造されたマウスピースを個別に輸入する形式となるため、国内では医薬品医療機器等法(薬機法)の未承認器材となります。(国内に薬機法の承認を受けているマウスピース型矯正装置も存在しておりますが、当院では使用しておりません。また、同等の性能を有す承認をうけた装置がないと考えます。)このため、医薬品副作用被害救済制度の対象外となる場合があります。ただし、安全性については、米国FDA(食品医薬品局)にて1998年に認証を受けており、重大な副作用の報告はありません。すでに日本を含む多数の国で矯正治療に用いられております。当院では、症例を選んで選択させていただいておりますので、インビザライン使用のご希望に添えない場合もございます。
インビザラインを含めたマウスピース型装置は、使用状況が悪いと、治療目標が充分達成できなかったり、治療期間が長くなるリスクがあります。
上顎
下顎
前歯の関係など
右側
正面
左側
※歯科矯正治療による歯の移動による主なリスク(副作用)としては、歯根吸収(歯の根の先が短くなること)や歯肉退縮(歯ぐきが下がること)があります。
※歯を移動する力により、痛みや違和感が出る場合があります。矯正装置の刺激で歯肉の炎症や口内炎が生じる場合があります。
※装置の装着により歯磨きがしにくくなる部位がありますので、不充分な歯磨きにより、虫歯や歯の変色・歯肉炎や歯周炎が発生することがあります。
※歯を動かし終わった後に、リテーナーの使用不足や歯ぎしりなどの癖の影響で、後戻りや新たな不正咬合が出現する場合があります。
※その他詳細は「よくある質問」にも記載がありますのでご参照ください。
※治療期間は症例により異なりますが、乳歯の残っているお子さんの治療の場合、第一期治療で12~24か月、経過観察期間後の第二期治療で12~24か月を要することがあります。
※表示されている<治療にかかった費用>は、契約を行った当時の治療費(税抜)です。現在の治療費の詳細については、「料金表」をご参照ください。
No.22V-449
- 主な症状:
- 上顎前突
- その他の症状:
- 叢生
- 年齢:
- 14歳
- 性別:
- 男性
- 抜歯部位
- 上:
- 44
- 下:
- 8448
- 主な使用装置:
- FEA
- 治療にかかった費用:
- 87万円
歯並びをきれいにしたいということで来院されました。上下左右から小臼歯を抜歯して、マルチブラケット法を行っています。2年弱、25回程度の通院が必要でした。
かなり強い叢生(でこぼこ、凹凸、ガタガタ)ですので、保定をしっかりしないと後戻りのリスクがあります。
- ≫治療前
-
上顎
下顎
前歯の関係など
右側
正面
左側
- ≫治療後
-
上顎
下顎
前歯の関係など
右側
正面
左側
※歯科矯正治療による歯の移動による主なリスク(副作用)としては、歯根吸収(歯の根の先が短くなること)や歯肉退縮(歯ぐきが下がること)があります。
※歯を移動する力により、痛みや違和感が出る場合があります。矯正装置の刺激で歯肉の炎症や口内炎が生じる場合があります。
※装置の装着により歯磨きがしにくくなる部位がありますので、不充分な歯磨きにより、虫歯や歯の変色・歯肉炎や歯周炎が発生することがあります。
※歯を動かし終わった後に、リテーナーの使用不足や歯ぎしりなどの癖の影響で、後戻りや新たな不正咬合が出現する場合があります。
※その他詳細は「よくある質問」にも記載がありますのでご参照ください。
※治療期間は症例により異なりますが、乳歯の残っているお子さんの治療の場合、第一期治療で12~24か月、経過観察期間後の第二期治療で12~24か月を要することがあります。
※表示されている<治療にかかった費用>は、契約を行った当時の治療費(税抜)です。現在の治療費の詳細については、「料金表」をご参照ください。
No.23V-061
- 主な症状:
- 叢生
- その他の症状:
- 上下顎前突
- 年齢:
- 23歳
- 性別:
- 女性
- 抜歯部位
- 上:
- 44
- 下:
- 44
- 主な使用装置:
- FEA 022
- 治療にかかった費用:
- 88万円
でこぼこを綺麗に並べたいということで来院されました。上下左右から小臼歯を抜歯して、マルチブラケット法を2年半、30回程度通院していただいて行いました。
かなり強い叢生(でこぼこ、凹凸、ガタガタ)のため、保定をしっかりしないと後戻りのリスクが高いケースといえます。
- ≫治療前
-
上顎
下顎
前歯の関係など
右側
正面
左側
- ≫治療後
-
上顎
下顎
前歯の関係など
右側
正面
左側
※歯科矯正治療による歯の移動による主なリスク(副作用)としては、歯根吸収(歯の根の先が短くなること)や歯肉退縮(歯ぐきが下がること)があります。
※歯を移動する力により、痛みや違和感が出る場合があります。矯正装置の刺激で歯肉の炎症や口内炎が生じる場合があります。
※装置の装着により歯磨きがしにくくなる部位がありますので、不充分な歯磨きにより、虫歯や歯の変色・歯肉炎や歯周炎が発生することがあります。
※歯を動かし終わった後に、リテーナーの使用不足や歯ぎしりなどの癖の影響で、後戻りや新たな不正咬合が出現する場合があります。
※その他詳細は「よくある質問」にも記載がありますのでご参照ください。
※治療期間は症例により異なりますが、乳歯の残っているお子さんの治療の場合、第一期治療で12~24か月、経過観察期間後の第二期治療で12~24か月を要することがあります。
※表示されている<治療にかかった費用>は、契約を行った当時の治療費(税抜)です。現在の治療費の詳細については、「料金表」をご参照ください。
No.17V-474
- 主な症状:
- 上顎前突
- その他の症状:
- 過蓋咬合
- 年齢:
- 22歳
- 性別:
- 男性
- 抜歯部位
- 上:
- non
- 下:
- 88
- 主な使用装置:
- Invisalign
- 治療にかかった費用:
- 25万円
出っ歯を治したいということで小学生の時に来院されました。小学校高学年でヘッドギアを使って奥歯の位置を整えて、二期治療ではマウスピース型矯正装置のひとつ、インビザライン/Invisalign®(薬機法および医薬品副作用被害救済制度の対象外)を使用して治療を行いました。約1年半、20回程度の通院が必要でした。
- ≫治療前
-
上顎
下顎
前歯の関係など
右側
正面
左側
- ≫治療中 ステップ1
-
上顎
下顎
前歯の関係など
右側
正面
左側
- ≫治療後
-
※注意※ インビザライン Invisalign®は、国外のアライン社工場で製造されたマウスピースを個別に輸入する形式となるため、国内では医薬品医療機器等法(薬機法)の未承認器材となります。(国内に薬機法の承認を受けているマウスピース型矯正装置も存在しておりますが、当院では使用しておりません。また、同等の性能を有す承認をうけた装置がないと考えます。)このため、医薬品副作用被害救済制度の対象外となる場合があります。ただし、安全性については、米国FDA(食品医薬品局)にて1998年に認証を受けており、重大な副作用の報告はありません。すでに日本を含む多数の国で矯正治療に用いられております。当院では、症例を選んで選択させていただいておりますので、インビザライン使用のご希望に添えない場合もございます。
インビザラインを含めたマウスピース型装置は、使用状況が悪いと、治療目標が充分達成できなかったり、治療期間が長くなるリスクがあります。
上顎
下顎
前歯の関係など
右側
正面
左側
※歯科矯正治療による歯の移動による主なリスク(副作用)としては、歯根吸収(歯の根の先が短くなること)や歯肉退縮(歯ぐきが下がること)があります。
※歯を移動する力により、痛みや違和感が出る場合があります。矯正装置の刺激で歯肉の炎症や口内炎が生じる場合があります。
※装置の装着により歯磨きがしにくくなる部位がありますので、不充分な歯磨きにより、虫歯や歯の変色・歯肉炎や歯周炎が発生することがあります。
※歯を動かし終わった後に、リテーナーの使用不足や歯ぎしりなどの癖の影響で、後戻りや新たな不正咬合が出現する場合があります。
※その他詳細は「よくある質問」にも記載がありますのでご参照ください。
※治療期間は症例により異なりますが、乳歯の残っているお子さんの治療の場合、第一期治療で12~24か月、経過観察期間後の第二期治療で12~24か月を要することがあります。
※表示されている<治療にかかった費用>は、契約を行った当時の治療費(税抜)です。現在の治療費の詳細については、「料金表」をご参照ください。
No.22V-244
- 主な症状:
- 上顎前突
- その他の症状:
- 叢生
- 年齢:
- 14歳
- 性別:
- 女性
- 抜歯部位
- 上:
- 44
- 下:
- 8558
- 主な使用装置:
- FEA
- 治療にかかった費用:
- 88万円
上の前歯を治したいとのことで来院されました。かなり強い前歯の突出がありましたので、上下左右から小臼歯を抜歯して、マルチブラケット法を行いました。約2年半、30回程度の通院が必要でした。前歯の移動量が多い上顎前突(出っ歯)の治療は、前歯の歯根吸収のリスクが特に高めです。
- ≫治療前
-
上顎
下顎
前歯の関係など
右側
正面
左側
- ≫治療後
-
上顎
下顎
前歯の関係など
右側
正面
左側
※歯科矯正治療による歯の移動による主なリスク(副作用)としては、歯根吸収(歯の根の先が短くなること)や歯肉退縮(歯ぐきが下がること)があります。
※歯を移動する力により、痛みや違和感が出る場合があります。矯正装置の刺激で歯肉の炎症や口内炎が生じる場合があります。
※装置の装着により歯磨きがしにくくなる部位がありますので、不充分な歯磨きにより、虫歯や歯の変色・歯肉炎や歯周炎が発生することがあります。
※歯を動かし終わった後に、リテーナーの使用不足や歯ぎしりなどの癖の影響で、後戻りや新たな不正咬合が出現する場合があります。
※その他詳細は「よくある質問」にも記載がありますのでご参照ください。
※治療期間は症例により異なりますが、乳歯の残っているお子さんの治療の場合、第一期治療で12~24か月、経過観察期間後の第二期治療で12~24か月を要することがあります。
※表示されている<治療にかかった費用>は、契約を行った当時の治療費(税抜)です。現在の治療費の詳細については、「料金表」をご参照ください。
No.22V-146
- 主な症状:
- 叢生
- その他の症状:
- 上顎前突
- 年齢:
- 18歳
- 性別:
- 女性
- 抜歯部位
- 上:
- 44
- 下:
- 448
- 主な使用装置:
- FEA 022
- 治療にかかった費用:
- 85万円
口元をひっこめたいということで来院されました。過蓋咬合(深いかみ合わせ)と叢生(でこぼこ、ガタガタ)でしたので、上下左右から小臼歯を抜歯して、マルチブラケット法を行いました。3年弱、35回程度の通院が必要でした。
術前のかみ合わせが深いので、保定中に深くなってきやすいというリスクがありますので、リテーナーの使用状況が重要です。
- ≫治療前
-
上顎
下顎
前歯の関係など
右側
正面
左側
- ≫治療後
-
上顎
下顎
前歯の関係など
右側
正面
左側
※歯科矯正治療による歯の移動による主なリスク(副作用)としては、歯根吸収(歯の根の先が短くなること)や歯肉退縮(歯ぐきが下がること)があります。
※歯を移動する力により、痛みや違和感が出る場合があります。矯正装置の刺激で歯肉の炎症や口内炎が生じる場合があります。
※装置の装着により歯磨きがしにくくなる部位がありますので、不充分な歯磨きにより、虫歯や歯の変色・歯肉炎や歯周炎が発生することがあります。
※歯を動かし終わった後に、リテーナーの使用不足や歯ぎしりなどの癖の影響で、後戻りや新たな不正咬合が出現する場合があります。
※その他詳細は「よくある質問」にも記載がありますのでご参照ください。
※治療期間は症例により異なりますが、乳歯の残っているお子さんの治療の場合、第一期治療で12~24か月、経過観察期間後の第二期治療で12~24か月を要することがあります。
※表示されている<治療にかかった費用>は、契約を行った当時の治療費(税抜)です。現在の治療費の詳細については、「料金表」をご参照ください。
No.22V-212
- 主な症状:
- 叢生
- その他の症状:
- 側方偏位
- 年齢:
- 36歳
- 性別:
- 女性
- 抜歯部位
- 上:
- 88
- 下:
- 8558
- 主な使用装置:
- FEA
- 治療にかかった費用:
- 88万円
見た目を綺麗にしたいとうことで来院されました。重度の叢生(でこぼこ、凹凸、ガタガタ)のため、上下左右から小臼歯を抜歯して、マルチブラケット法を行いました。3年弱、30回程度の通院が必要でした。
本ケースのように叢生が強いと、後戻りのリスクが高いと考えられます。
- ≫治療前
-
上顎
下顎
前歯の関係など
右側
正面
左側
- ≫治療後
-
上顎
下顎
前歯の関係など
右側
正面
左側
※歯科矯正治療による歯の移動による主なリスク(副作用)としては、歯根吸収(歯の根の先が短くなること)や歯肉退縮(歯ぐきが下がること)があります。
※歯を移動する力により、痛みや違和感が出る場合があります。矯正装置の刺激で歯肉の炎症や口内炎が生じる場合があります。
※装置の装着により歯磨きがしにくくなる部位がありますので、不充分な歯磨きにより、虫歯や歯の変色・歯肉炎や歯周炎が発生することがあります。
※歯を動かし終わった後に、リテーナーの使用不足や歯ぎしりなどの癖の影響で、後戻りや新たな不正咬合が出現する場合があります。
※その他詳細は「よくある質問」にも記載がありますのでご参照ください。
※治療期間は症例により異なりますが、乳歯の残っているお子さんの治療の場合、第一期治療で12~24か月、経過観察期間後の第二期治療で12~24か月を要することがあります。
※表示されている<治療にかかった費用>は、契約を行った当時の治療費(税抜)です。現在の治療費の詳細については、「料金表」をご参照ください。
No.22V-118
- 主な症状:
- 叢生
- 年齢:
- 28歳
- 性別:
- 女性
- 抜歯部位
- 上:
- 44
- 下:
- 448
- 主な使用装置:
- FEA 022
- 治療にかかった費用:
- 88万円
ガタガタを綺麗にしたい、左側がうまくかみ合わない、ということで来院されました。上下左右から第一小臼歯を抜歯して、マルチブラケット法を行いました。約2年半、30回程度の通院が必要でした。
強い叢生(でこぼこ、凹凸、ガタガタ)がありますので、保定中の後戻りのリスクが高いため、リテーナーの使用状況の確認が重要です。
- ≫治療前
-
上顎
下顎
前歯の関係など
右側
正面
左側
- ≫治療後
-
上顎
下顎
前歯の関係など
右側
正面
左側
※歯科矯正治療による歯の移動による主なリスク(副作用)としては、歯根吸収(歯の根の先が短くなること)や歯肉退縮(歯ぐきが下がること)があります。
※歯を移動する力により、痛みや違和感が出る場合があります。矯正装置の刺激で歯肉の炎症や口内炎が生じる場合があります。
※装置の装着により歯磨きがしにくくなる部位がありますので、不充分な歯磨きにより、虫歯や歯の変色・歯肉炎や歯周炎が発生することがあります。
※歯を動かし終わった後に、リテーナーの使用不足や歯ぎしりなどの癖の影響で、後戻りや新たな不正咬合が出現する場合があります。
※その他詳細は「よくある質問」にも記載がありますのでご参照ください。
※治療期間は症例により異なりますが、乳歯の残っているお子さんの治療の場合、第一期治療で12~24か月、経過観察期間後の第二期治療で12~24か月を要することがあります。
※表示されている<治療にかかった費用>は、契約を行った当時の治療費(税抜)です。現在の治療費の詳細については、「料金表」をご参照ください。
No.21V-424
- 主な症状:
- 上顎前突
- その他の症状:
- 叢生
- 年齢:
- 23歳
- 性別:
- 女性
- 抜歯部位
- 上:
- 44
- 下:
- 8|2
- 主な使用装置:
- FEA 022
- 治療にかかった費用:
- 90万円
でこぼこと八重歯が気になるとのことで来院されました。上下のあごのズレ(下顎の後退)が相当に強かったため、下は左右から小臼歯を抜歯する代わりに下の前歯を一本だけ抜歯する治療方針を採用させていただきました。
下顎の後退は呼吸機能にも影響しますので、ある一定上のズレがある方は、下あごの前方移動術のオペも検討します。こちらの方は、そこまでリスクが高いとは判断しませんでした。
- ≫治療前
-
上顎
下顎
前歯の関係など
右側
正面
左側
- ≫治療後
-
上顎
下顎
前歯の関係など
右側
正面
左側
※歯科矯正治療による歯の移動による主なリスク(副作用)としては、歯根吸収(歯の根の先が短くなること)や歯肉退縮(歯ぐきが下がること)があります。
※歯を移動する力により、痛みや違和感が出る場合があります。矯正装置の刺激で歯肉の炎症や口内炎が生じる場合があります。
※装置の装着により歯磨きがしにくくなる部位がありますので、不充分な歯磨きにより、虫歯や歯の変色・歯肉炎や歯周炎が発生することがあります。
※歯を動かし終わった後に、リテーナーの使用不足や歯ぎしりなどの癖の影響で、後戻りや新たな不正咬合が出現する場合があります。
※その他詳細は「よくある質問」にも記載がありますのでご参照ください。
※治療期間は症例により異なりますが、乳歯の残っているお子さんの治療の場合、第一期治療で12~24か月、経過観察期間後の第二期治療で12~24か月を要することがあります。
※表示されている<治療にかかった費用>は、契約を行った当時の治療費(税抜)です。現在の治療費の詳細については、「料金表」をご参照ください。
No.21V-642
- 主な症状:
- 反対咬合
- その他の症状:
- 叢生
- 年齢:
- 38歳
- 性別:
- 女性
- 抜歯部位
- 上:
- 55
- 下:
- 85|E8
- 主な使用装置:
- FEA
- 治療にかかった費用:
- 92万円
前歯の重なりと受け口を治したいということで来院されました。左下の第二小臼歯が生まれつき欠損しており、まだ子供の臼歯が残っていました。
この左下乳歯と、右下&左右上の第二小臼歯も抜歯してマルチブラケット法を行いました。
約2.5年、30回強の通院が必要でした。
反対咬合(受け口)は、前歯が咬み合わないため、奥歯に負担をかけて寿命を短くしやすいというリスクがあります。
- ≫治療前
-
上顎
下顎
前歯の関係など
右側
正面
左側
- ≫治療後
-
受け口が解消するとともに、左下の永久歯欠損部分自分の歯で埋めることができましたので、今後の憂いが減ったと思います。
上顎
下顎
前歯の関係など
右側
正面
左側
※歯科矯正治療による歯の移動による主なリスク(副作用)としては、歯根吸収(歯の根の先が短くなること)や歯肉退縮(歯ぐきが下がること)があります。
※歯を移動する力により、痛みや違和感が出る場合があります。矯正装置の刺激で歯肉の炎症や口内炎が生じる場合があります。
※装置の装着により歯磨きがしにくくなる部位がありますので、不充分な歯磨きにより、虫歯や歯の変色・歯肉炎や歯周炎が発生することがあります。
※歯を動かし終わった後に、リテーナーの使用不足や歯ぎしりなどの癖の影響で、後戻りや新たな不正咬合が出現する場合があります。
※その他詳細は「よくある質問」にも記載がありますのでご参照ください。
※治療期間は症例により異なりますが、乳歯の残っているお子さんの治療の場合、第一期治療で12~24か月、経過観察期間後の第二期治療で12~24か月を要することがあります。
※表示されている<治療にかかった費用>は、契約を行った当時の治療費(税抜)です。現在の治療費の詳細については、「料金表」をご参照ください。
- 2026年04月分
- 2026年03月分
- 2026年02月分
- 2026年01月分
- 2025年12月分
- 2025年11月分
- 2025年10月分
- 2025年09月分
- 2025年08月分
- 2025年07月分
- 2025年06月分
- 2025年05月分
- 2025年04月分
- 2025年03月分
- 2025年02月分
- 2025年01月分
- 2024年12月分
- 2024年11月分
- 2024年10月分
- 2024年09月分
- 2024年08月分
- 2024年07月分
- 2024年06月分
- 2024年05月分
- 2024年04月分
- 2024年03月分
- 2024年02月分
- 2024年01月分
- 2023年12月分
- 2023年11月分
- 2023年10月分
- 2023年09月分
- 2023年08月分
- 2023年07月分
- 2023年06月分
- 2023年05月分
- 2023年04月分
- 2023年03月分
- 2023年02月分
- 2023年01月分
- 2022年12月分
- 2022年11月分
- 2022年10月分
- 2022年09月分
- 2022年08月分
- 2022年07月分
- 2022年06月分
- 2022年05月分
- 2022年04月分
- 2022年03月分
- 2022年02月分
- 2022年01月分
- 2021年12月分
- 2021年11月分
- 2021年10月分
- 2021年09月分
- 2021年08月分
- 2021年07月分
- 2021年06月分
- 2021年05月分
- 2021年04月分
- 2021年03月分
- 2021年01月分
- 2020年12月分
- 2020年11月分
- 2020年10月分
- 2020年09月分
- 2020年08月分
- 2020年07月分
- 2020年06月分
- 2020年05月分
- 2020年04月分
- 2020年03月分
- 2020年02月分
- 2020年01月分
- 2019年12月分
- 2019年11月分
- 2019年10月分
- 2019年09月分
- 2019年08月分
- 2019年07月分
- 2019年06月分
- 2019年05月分
- 2019年04月分
- 2019年03月分
- 2019年02月分
- 2019年01月分
- 2018年12月分
- 2018年11月分
- 2018年10月分
- 2018年09月分
- 2018年08月分
- 2018年07月分
- 2018年06月分
- 2018年05月分
- 2018年04月分
- 2018年03月分
- 2018年02月分
- 2018年01月分
- 2017年12月分
- 2017年11月分
- 2017年10月分
- 2017年09月分
- 2017年08月分
- 2017年07月分
- 2017年06月分
- 2017年05月分
- 2017年04月分
- 2017年03月分
- 2017年02月分
- 2017年01月分
- 2016年12月分
- 2016年11月分
- 2016年10月分
- 2016年09月分
- 2016年08月分
- 2016年07月分
- 2016年06月分
- 2016年05月分
- 2016年04月分
- 2016年03月分
- 2016年02月分
- 2016年01月分
- 2015年12月分
- 2015年11月分
- 2015年10月分
- 2015年09月分
- 2015年08月分
- 2015年07月分
- 2015年06月分
- 2015年05月分
- 2015年04月分
- 2015年03月分
- 2015年02月分
- 2015年01月分
- 2014年12月分
- 2014年11月分
- 2014年10月分
- 2014年09月分
- 2014年08月分
- 2014年07月分
- 2014年06月分
- 2014年05月分
- 2014年04月分
- 2014年03月分
- 2014年02月分
- 2014年01月分
- 2013年12月分
- 2013年11月分
- 2013年10月分
- 2013年09月分
- 2013年08月分
