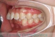
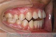
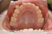
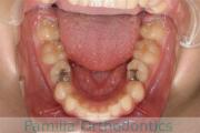
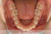
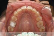
2026年3月
No.23V-132
- 主な症状:
- 開咬
- 年齢:
- 16歳
- 性別:
- 男性
- 抜歯部位
- 上:
- 88
- 下:
- 88
- 主な使用装置:
- FEA
- 治療にかかった費用:
- 87万円
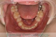
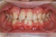
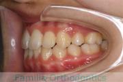
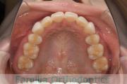
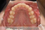
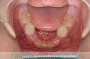
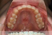
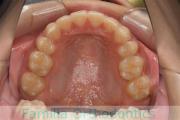
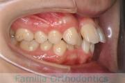
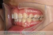
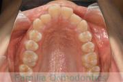
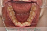
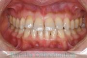
開咬なので治療したいとのことで来院されました。受け口傾向のある開咬(前歯が咬み合わない)でしたので、下の親知らずを抜歯してマルチブラケット法にて治療を行いました。約1年半、20回程度の通院が必要でした。開咬は舌の癖の影響が強く、後戻りのリスクが高いケースといえます。
- ≫治療前
-
上顎
下顎
前歯の関係など
右側
正面
左側
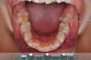
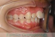
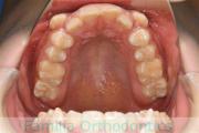
- ≫治療後
-
上顎
下顎
前歯の関係など
右側
正面
左側
※歯科矯正治療による歯の移動による主なリスク(副作用)としては、歯根吸収(歯の根の先が短くなること)や歯肉退縮(歯ぐきが下がること)があります。
※歯を移動する力により、痛みや違和感が出る場合があります。矯正装置の刺激で歯肉の炎症や口内炎が生じる場合があります。
※装置の装着により歯磨きがしにくくなる部位がありますので、不充分な歯磨きにより、虫歯や歯の変色・歯肉炎や歯周炎が発生することがあります。
※歯を動かし終わった後に、リテーナーの使用不足や歯ぎしりなどの癖の影響で、後戻りや新たな不正咬合が出現する場合があります。
※その他詳細は「よくある質問」にも記載がありますのでご参照ください。
※治療期間は症例により異なりますが、乳歯の残っているお子さんの治療の場合、第一期治療で12~24か月、経過観察期間後の第二期治療で12~24か月を要することがあります。
※表示されている<治療にかかった費用>は、契約を行った当時の治療費(税抜)です。現在の治療費の詳細については、「料金表」をご参照ください。
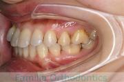
No.16V-202
- 主な症状:
- 叢生
- 年齢:
- 10歳
- 性別:
- 男性
- 抜歯部位
- 上:
- 44
- 下:
- 4|3
- 主な使用装置:
- FEA
- 治療にかかった費用:
- 92万円
歯並びを治したいということで小学生のときに来院されました。二期治療で小臼歯抜歯の可能性が高いと判断しましたが、スペースの不足が著しいため、上下を拡大してから成長観察に移行しました。
左下犬歯に異常があったので、この歯と左右上&右下の小臼歯を抜歯してマルチブラケットを行いました。約4年、30回以上の通院が必要でした。
- ≫治療前
-
上顎
下顎
前歯の関係など
右側
正面
左側
- ≫治療中 ステップ1
-
上顎
下顎
前歯の関係など
右側
正面
左側
- ≫治療後
-
左下犬歯の形成異常は原因がわかりませんでした。犬歯は寿命の長い大事な歯なので、抜くことにはリスクがありますが、本ケースではやむを得ない判断だったと思います。
上顎
下顎
前歯の関係など
右側
正面
左側
※歯科矯正治療による歯の移動による主なリスク(副作用)としては、歯根吸収(歯の根の先が短くなること)や歯肉退縮(歯ぐきが下がること)があります。
※歯を移動する力により、痛みや違和感が出る場合があります。矯正装置の刺激で歯肉の炎症や口内炎が生じる場合があります。
※装置の装着により歯磨きがしにくくなる部位がありますので、不充分な歯磨きにより、虫歯や歯の変色・歯肉炎や歯周炎が発生することがあります。
※歯を動かし終わった後に、リテーナーの使用不足や歯ぎしりなどの癖の影響で、後戻りや新たな不正咬合が出現する場合があります。
※その他詳細は「よくある質問」にも記載がありますのでご参照ください。
※治療期間は症例により異なりますが、乳歯の残っているお子さんの治療の場合、第一期治療で12~24か月、経過観察期間後の第二期治療で12~24か月を要することがあります。
※表示されている<治療にかかった費用>は、契約を行った当時の治療費(税抜)です。現在の治療費の詳細については、「料金表」をご参照ください。
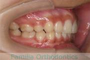
No.19V-044
- 主な症状:
- 上顎前突
- 年齢:
- 13歳
- 性別:
- 女性
- 抜歯部位
- 上:
- 44
- 下:
- 8558
- 主な使用装置:
- FEA
- 治療にかかった費用:
- 85万円
出っ歯を治したいということで小学生の時に来院されました。中学生になるまで経過観察をして、診断、上下左右から小臼歯を抜歯してマルチブラケット法にて治療を行いました。2年強、30回程度の通院が必要でした。
口元の突出感も大きく改善しています。
- ≫治療前
-
上顎
下顎
前歯の関係など
右側
正面
左側
- ≫治療後
-
上下とも前歯の叢生(でこぼこ、凹凸、ガタガタ)がありましたので、保定をしっかりやらないと後戻りのリスクが出てきます。
上顎
下顎
前歯の関係など
右側
正面
左側
※歯科矯正治療による歯の移動による主なリスク(副作用)としては、歯根吸収(歯の根の先が短くなること)や歯肉退縮(歯ぐきが下がること)があります。
※歯を移動する力により、痛みや違和感が出る場合があります。矯正装置の刺激で歯肉の炎症や口内炎が生じる場合があります。
※装置の装着により歯磨きがしにくくなる部位がありますので、不充分な歯磨きにより、虫歯や歯の変色・歯肉炎や歯周炎が発生することがあります。
※歯を動かし終わった後に、リテーナーの使用不足や歯ぎしりなどの癖の影響で、後戻りや新たな不正咬合が出現する場合があります。
※その他詳細は「よくある質問」にも記載がありますのでご参照ください。
※治療期間は症例により異なりますが、乳歯の残っているお子さんの治療の場合、第一期治療で12~24か月、経過観察期間後の第二期治療で12~24か月を要することがあります。
※表示されている<治療にかかった費用>は、契約を行った当時の治療費(税抜)です。現在の治療費の詳細については、「料金表」をご参照ください。
No.14V-516
- 主な症状:
- 上顎前突
- その他の症状:
- 叢生
- 年齢:
- 10歳
- 性別:
- 女性
- 抜歯部位
- 上:
- 44
- 下:
- 55
- 主な使用装置:
- FEA
- 治療にかかった費用:
- 90万円
きれいな歯並びにしたいということで来院されました。第一期治療で六歳臼歯の位置を維持する装置を入れて第二期治療の準備をしました。第二期は中学生になってから小臼歯を抜歯して行いました。二期治療は約2年半、25回程度の通院が必要でした。
- ≫治療前
-
上顎
下顎
前歯の関係など
右側
正面
左側
- ≫治療中 ステップ1
-
上顎
下顎
前歯の関係など
右側
正面
左側
- ≫治療後
-
二期治療開始前は叢生(でこぼこ、凹凸、ガタガタ)がかなりありましたので、保定をしっかりしないと段差ができてきたり後戻りのリスクがあります。
上顎
下顎
前歯の関係など
右側
正面
左側
※歯科矯正治療による歯の移動による主なリスク(副作用)としては、歯根吸収(歯の根の先が短くなること)や歯肉退縮(歯ぐきが下がること)があります。
※歯を移動する力により、痛みや違和感が出る場合があります。矯正装置の刺激で歯肉の炎症や口内炎が生じる場合があります。
※装置の装着により歯磨きがしにくくなる部位がありますので、不充分な歯磨きにより、虫歯や歯の変色・歯肉炎や歯周炎が発生することがあります。
※歯を動かし終わった後に、リテーナーの使用不足や歯ぎしりなどの癖の影響で、後戻りや新たな不正咬合が出現する場合があります。
※その他詳細は「よくある質問」にも記載がありますのでご参照ください。
※治療期間は症例により異なりますが、乳歯の残っているお子さんの治療の場合、第一期治療で12~24か月、経過観察期間後の第二期治療で12~24か月を要することがあります。
※表示されている<治療にかかった費用>は、契約を行った当時の治療費(税抜)です。現在の治療費の詳細については、「料金表」をご参照ください。
No.17V-164
- 主な症状:
- 欠損歯
- その他の症状:
- 叢生
- 年齢:
- 8歳
- 性別:
- 女性
- 抜歯部位
- 上:
- 44
- 下:
- 22欠
- 主な使用装置:
- FEA
- 治療にかかった費用:
- 90万円
歯の数が上下で合わないので治療したいということで来院されました。下顎側切歯が左右とも欠損のため、一期治療で上の側切歯を外に出すだけ出しておいて、残りは二期治療で対応しました。
下に本数を合わせるために上顎から左右第一小臼歯を抜歯して、マルチブラケット法にて2年強の治療を行いました。25回程度の通院が必要でした。
- ≫治療前
-
上顎
下顎
前歯の関係など
右側
正面
左側
- ≫治療中 ステップ1
-
上顎
下顎
前歯の関係など
右側
正面
左側
- ≫治療後
-
内側に入ってしまっていた、上顎右側側切歯の後戻りリスクは高めと考えられます。
上顎
下顎
前歯の関係など
右側
正面
左側
※歯科矯正治療による歯の移動による主なリスク(副作用)としては、歯根吸収(歯の根の先が短くなること)や歯肉退縮(歯ぐきが下がること)があります。
※歯を移動する力により、痛みや違和感が出る場合があります。矯正装置の刺激で歯肉の炎症や口内炎が生じる場合があります。
※装置の装着により歯磨きがしにくくなる部位がありますので、不充分な歯磨きにより、虫歯や歯の変色・歯肉炎や歯周炎が発生することがあります。
※歯を動かし終わった後に、リテーナーの使用不足や歯ぎしりなどの癖の影響で、後戻りや新たな不正咬合が出現する場合があります。
※その他詳細は「よくある質問」にも記載がありますのでご参照ください。
※治療期間は症例により異なりますが、乳歯の残っているお子さんの治療の場合、第一期治療で12~24か月、経過観察期間後の第二期治療で12~24か月を要することがあります。
※表示されている<治療にかかった費用>は、契約を行った当時の治療費(税抜)です。現在の治療費の詳細については、「料金表」をご参照ください。
No.15V-208
- 主な症状:
- 交叉咬合
- その他の症状:
- 叢生
- 年齢:
- 8歳
- 性別:
- 男性
- 抜歯部位
- 上:
- 44
- 下:
- 44
- 主な使用装置:
- FEA
- 治療にかかった費用:
- 90万円
永久歯が生え変わらないということで小学生の時に来院されました。左下六歳臼歯がちゃんと出てこれないため、その部位を第一期治療で対応しました。
高校生になってから上下左右から小臼歯を抜歯して、マルチブラケット法にて治療を行いました。口元の突出感も一緒に改善しています。
- ≫治療前
-
上顎
下顎
前歯の関係など
右側
正面
左側
- ≫治療中 ステップ1
-
上顎
下顎
前歯の関係など
右側
正面
左側
- ≫治療後
-
叢生(でこぼこ、凹凸、ガタガタ)がありましたので、保定装置をしっかりしないと後戻りのリスクが高いです。
上顎
下顎
前歯の関係など
右側
正面
左側
※歯科矯正治療による歯の移動による主なリスク(副作用)としては、歯根吸収(歯の根の先が短くなること)や歯肉退縮(歯ぐきが下がること)があります。
※歯を移動する力により、痛みや違和感が出る場合があります。矯正装置の刺激で歯肉の炎症や口内炎が生じる場合があります。
※装置の装着により歯磨きがしにくくなる部位がありますので、不充分な歯磨きにより、虫歯や歯の変色・歯肉炎や歯周炎が発生することがあります。
※歯を動かし終わった後に、リテーナーの使用不足や歯ぎしりなどの癖の影響で、後戻りや新たな不正咬合が出現する場合があります。
※その他詳細は「よくある質問」にも記載がありますのでご参照ください。
※治療期間は症例により異なりますが、乳歯の残っているお子さんの治療の場合、第一期治療で12~24か月、経過観察期間後の第二期治療で12~24か月を要することがあります。
※表示されている<治療にかかった費用>は、契約を行った当時の治療費(税抜)です。現在の治療費の詳細については、「料金表」をご参照ください。
No.QV-063
- 主な症状:
- 空隙歯列
- 年齢:
- 39歳
- 性別:
- 女性
- 主な使用装置:
- Invisalign
- 治療にかかった費用:
- 75万円
30年前に当院で治療をした患者さんの再治療希望でした。
マウスピース型矯正装置のひとつ、インビザライン/Invisalign®(薬機法および医薬品副作用被害救済制度の対象外)を使用しました。左下の第二大臼歯の倒れこみや、叢生8でこぼこ)を治療しました。約2年、20回程度の通院が必要でした。
- ≫治療前
-
上顎
下顎
前歯の関係など
右側
正面
左側
- ≫治療後
-
※注意※ インビザライン Invisalign®は、国外のアライン社工場で製造されたマウスピースを輸入する形式となるため、国内では未承認器材扱いです。このため、薬機法対象外の矯正歯科装置であり、医薬品副作用被害救済制度の対象外となる場合があります。ただしすでに我が国を含む海外の多数の国で矯正治療に用いられております。当院では、症例を選んで選択させていただいておりますので、インビザライン使用のご希望に添えない場合もございます。
使用時間が短いと所定の治療結果が得られないリスクがあります。
上顎
下顎
前歯の関係など
右側
正面
左側
※歯科矯正治療による歯の移動による主なリスク(副作用)としては、歯根吸収(歯の根の先が短くなること)や歯肉退縮(歯ぐきが下がること)があります。
※歯を移動する力により、痛みや違和感が出る場合があります。矯正装置の刺激で歯肉の炎症や口内炎が生じる場合があります。
※装置の装着により歯磨きがしにくくなる部位がありますので、不充分な歯磨きにより、虫歯や歯の変色・歯肉炎や歯周炎が発生することがあります。
※歯を動かし終わった後に、リテーナーの使用不足や歯ぎしりなどの癖の影響で、後戻りや新たな不正咬合が出現する場合があります。
※その他詳細は「よくある質問」にも記載がありますのでご参照ください。
※治療期間は症例により異なりますが、乳歯の残っているお子さんの治療の場合、第一期治療で12~24か月、経過観察期間後の第二期治療で12~24か月を要することがあります。
※表示されている<治療にかかった費用>は、契約を行った当時の治療費(税抜)です。現在の治療費の詳細については、「料金表」をご参照ください。
No.15V-180
- 主な症状:
- 欠損歯
- その他の症状:
- 上下顎前突
- 年齢:
- 11歳
- 性別:
- 女性
- 抜歯部位
- 上:
- 44
- 下:
- EE
- 主な使用装置:
- FEA
- 治療にかかった費用:
- 88万円
下の歯の足りないところが気になるとのことで来院されました。下の第二小臼歯が左右欠損していたため、乳歯を半分だけ抜歯して自然に生え変わるのを助けておきました。
中学生になってから第二期治療を開始し、上の小臼歯と下の乳歯の残りの半分を抜歯して、マルチブラケット法にて治療を行いました。2年半、25回程度の通院が必要でした。
- ≫治療前
-
上顎
下顎
前歯の関係など
右側
正面
左側
- ≫治療中 ステップ1
-
上顎
下顎
前歯の関係など
右側
正面
左側
- ≫治療後
-
先天欠損は、下顎の第二小臼歯に発生することが多いです。この部の乳歯はサイズが大きく、そのままにしておくとそれより奥の大臼歯の埋伏リスクがあります。
また今回の治療ではスムーズに後ろの第一大臼歯が前に来てくれましたが、倒れてしまうリスクはあるので経過をしっかり見る必要がありました。
上顎
下顎
前歯の関係など
右側
正面
左側
※歯科矯正治療による歯の移動による主なリスク(副作用)としては、歯根吸収(歯の根の先が短くなること)や歯肉退縮(歯ぐきが下がること)があります。
※歯を移動する力により、痛みや違和感が出る場合があります。矯正装置の刺激で歯肉の炎症や口内炎が生じる場合があります。
※装置の装着により歯磨きがしにくくなる部位がありますので、不充分な歯磨きにより、虫歯や歯の変色・歯肉炎や歯周炎が発生することがあります。
※歯を動かし終わった後に、リテーナーの使用不足や歯ぎしりなどの癖の影響で、後戻りや新たな不正咬合が出現する場合があります。
※その他詳細は「よくある質問」にも記載がありますのでご参照ください。
※治療期間は症例により異なりますが、乳歯の残っているお子さんの治療の場合、第一期治療で12~24か月、経過観察期間後の第二期治療で12~24か月を要することがあります。
※表示されている<治療にかかった費用>は、契約を行った当時の治療費(税抜)です。現在の治療費の詳細については、「料金表」をご参照ください。
No.23V-069
- 主な症状:
- 上下顎前突
- その他の症状:
- 叢生
- 年齢:
- 25歳
- 性別:
- 女性
- 抜歯部位
- 上:
- 44
- 下:
- 44
- 主な使用装置:
- FEA 022
- 治療にかかった費用:
- 88万円
前歯のでこぼこと口元の突出感を治したいということで来院されました。上下の前歯の突出がある上下顎前突と叢生のケースでした。上下左右から小臼歯を抜歯を抜歯してマルチブラケット法にて治療を行いました。2年強、25回程度の通院が必要でした。
- ≫治療前
-
上顎
下顎
前歯の関係など
右側
正面
左側
- ≫治療後
-
特に治療前に内側に入っていた上の側切歯の後戻りリスクが大きいケースです。
上顎
下顎
前歯の関係など
右側
正面
左側
※歯科矯正治療による歯の移動による主なリスク(副作用)としては、歯根吸収(歯の根の先が短くなること)や歯肉退縮(歯ぐきが下がること)があります。
※歯を移動する力により、痛みや違和感が出る場合があります。矯正装置の刺激で歯肉の炎症や口内炎が生じる場合があります。
※装置の装着により歯磨きがしにくくなる部位がありますので、不充分な歯磨きにより、虫歯や歯の変色・歯肉炎や歯周炎が発生することがあります。
※歯を動かし終わった後に、リテーナーの使用不足や歯ぎしりなどの癖の影響で、後戻りや新たな不正咬合が出現する場合があります。
※その他詳細は「よくある質問」にも記載がありますのでご参照ください。
※治療期間は症例により異なりますが、乳歯の残っているお子さんの治療の場合、第一期治療で12~24か月、経過観察期間後の第二期治療で12~24か月を要することがあります。
※表示されている<治療にかかった費用>は、契約を行った当時の治療費(税抜)です。現在の治療費の詳細については、「料金表」をご参照ください。
No.22V-169
- 主な症状:
- 上顎前突
- 年齢:
- 14歳
- 性別:
- 女性
- 抜歯部位
- 上:
- 44
- 下:
- |1
- 主な使用装置:
- FEA 022
- 治療にかかった費用:
- 88万円
上の前歯が出ているのを治したいということで来院されました。上下のあごのズレが強く、上は小臼歯を、下は前歯を一本抜歯で対応しました。約2年半、30回程度の通院をしていただきました。前歯の移動量が大きく、歯根吸収のリスクが高いケースでした。
- ≫治療前
-
上顎
下顎
前歯の関係など
右側
正面
左側
- ≫治療後
-
上顎
下顎
前歯の関係など
右側
正面
左側
※歯科矯正治療による歯の移動による主なリスク(副作用)としては、歯根吸収(歯の根の先が短くなること)や歯肉退縮(歯ぐきが下がること)があります。
※歯を移動する力により、痛みや違和感が出る場合があります。矯正装置の刺激で歯肉の炎症や口内炎が生じる場合があります。
※装置の装着により歯磨きがしにくくなる部位がありますので、不充分な歯磨きにより、虫歯や歯の変色・歯肉炎や歯周炎が発生することがあります。
※歯を動かし終わった後に、リテーナーの使用不足や歯ぎしりなどの癖の影響で、後戻りや新たな不正咬合が出現する場合があります。
※その他詳細は「よくある質問」にも記載がありますのでご参照ください。
※治療期間は症例により異なりますが、乳歯の残っているお子さんの治療の場合、第一期治療で12~24か月、経過観察期間後の第二期治療で12~24か月を要することがあります。
※表示されている<治療にかかった費用>は、契約を行った当時の治療費(税抜)です。現在の治療費の詳細については、「料金表」をご参照ください。
No.22V-220
- 主な症状:
- 上顎前突
- その他の症状:
- 叢生
- 年齢:
- 23歳
- 性別:
- 男性
- 抜歯部位
- 上:
- 448
- 下:
- 448
- 主な使用装置:
- FEA 022
- 治療にかかった費用:
- 88万円
歯並びをきれいにしたいということで来院されました。非常に強い前歯の突出と叢生(でこぼこ)でした。上下左右から小臼歯を抜歯してマルチブラケット法にて治療を行いました。前歯の歯根が短く、歯根吸収のリスクが非常に高いケースでした。前歯に負担をかけないように3年弱、30回程度の通院で治療を行いました。
- ≫治療前
-
上顎
下顎
前歯の関係など
右側
正面
左側
- ≫治療後
-
上顎
下顎
前歯の関係など
右側
正面
左側
※歯科矯正治療による歯の移動による主なリスク(副作用)としては、歯根吸収(歯の根の先が短くなること)や歯肉退縮(歯ぐきが下がること)があります。
※歯を移動する力により、痛みや違和感が出る場合があります。矯正装置の刺激で歯肉の炎症や口内炎が生じる場合があります。
※装置の装着により歯磨きがしにくくなる部位がありますので、不充分な歯磨きにより、虫歯や歯の変色・歯肉炎や歯周炎が発生することがあります。
※歯を動かし終わった後に、リテーナーの使用不足や歯ぎしりなどの癖の影響で、後戻りや新たな不正咬合が出現する場合があります。
※その他詳細は「よくある質問」にも記載がありますのでご参照ください。
※治療期間は症例により異なりますが、乳歯の残っているお子さんの治療の場合、第一期治療で12~24か月、経過観察期間後の第二期治療で12~24か月を要することがあります。
※表示されている<治療にかかった費用>は、契約を行った当時の治療費(税抜)です。現在の治療費の詳細については、「料金表」をご参照ください。
No.22V-433
- 主な症状:
- 上顎前突
- その他の症状:
- 叢生
- 年齢:
- 16歳
- 性別:
- 女性
- 抜歯部位
- 上:
- 8448
- 下:
- 8558
- 主な使用装置:
- FEA
- 治療にかかった費用:
- 88万円
かみ合わせを治して食事の不便を無くしたい、とのことで来院されました。相当に強い上顎前突(前歯の突出)を認めるため、上下左右から小臼歯を抜歯してマルチブラケット法にて治療を行いました。ほぼ2年、25回程度の通院が必要でした。前歯の移動量が大きく、歯根吸収のリスクが高いケースでした。
- ≫治療前
-
上顎
下顎
前歯の関係など
右側
正面
左側
- ≫治療後
-
上顎
下顎
前歯の関係など
右側
正面
左側
※歯科矯正治療による歯の移動による主なリスク(副作用)としては、歯根吸収(歯の根の先が短くなること)や歯肉退縮(歯ぐきが下がること)があります。
※歯を移動する力により、痛みや違和感が出る場合があります。矯正装置の刺激で歯肉の炎症や口内炎が生じる場合があります。
※装置の装着により歯磨きがしにくくなる部位がありますので、不充分な歯磨きにより、虫歯や歯の変色・歯肉炎や歯周炎が発生することがあります。
※歯を動かし終わった後に、リテーナーの使用不足や歯ぎしりなどの癖の影響で、後戻りや新たな不正咬合が出現する場合があります。
※その他詳細は「よくある質問」にも記載がありますのでご参照ください。
※治療期間は症例により異なりますが、乳歯の残っているお子さんの治療の場合、第一期治療で12~24か月、経過観察期間後の第二期治療で12~24か月を要することがあります。
※表示されている<治療にかかった費用>は、契約を行った当時の治療費(税抜)です。現在の治療費の詳細については、「料金表」をご参照ください。
